CNRS HEBDO

À l'affiche

Vignette illustrant cette actualité <>"Persona, étrangement humain"

CNRS Le Journal est partenaire de l’exposition "Persona, étrangement humain". Elle se déroule jusqu'au 13 novembre 2016 au Musée du Quai Branly à Paris. 

À la une

Vignette illustrant cette actualité

Co-organisé par le CNRS et la CPU, le concours "Ma thèse en 180 secondes" propose aux doctorants de présenter leur projet de recherche, en trois minutes chrono, devant un public profane. A l'issue des sélections locales, les meilleurs candidats s'affronteront au cours de la finale nationale. Les trois gagnants auront ensuite le privilège de concourir à la finale internationale qui se tiendra le 29 septembre 2016 à Rabat (Maroc). L'an dernier, Alexandre Artaud, étudiant à l’Université Grenoble Alpes, a remporté la deuxième place du podium lors de la finale internationale qui s'est déroulée à Paris.

  Vie institutionnelle haut de page

Vignette illustrant cette actualité

La wikiradio du CNRS diffuse une émission sur le réseau des acteurs de la communication au CNRS, Com’On !  Cette première émission est consacrée aux objectifs et aux réalisations du réseau.

Vignette illustrant cette actualité

La prime d’encadrement doctoral et de recherche (PEDR) fait l'objet d'une nouvelle campagne au titre de l'année 2016. L'appel à candidatures est ouvert à tous les chercheurs du CNRS. Date limite de candidature en ligne : 3 mars 2016.

Vignette illustrant cette actualité

Dispositif de formation ouvert aux communautés scientifiques, les écoles thématiques visent notamment à développer l’interdisciplinarité autour de sujets et technologies en émergence. Pour proposer une école, tout porteur de projet doit obligatoirement adresser par courriel une déclaration d’intention au conseiller formation de la délégation et aux chargés de mission formation des instituts concernés. Date limite pour l’envoi des déclarations d’intention : 31 mars 2016.

Vignette illustrant cette actualité

La liste électorale pour le renouvellement des sections du Comité national de la recherche scientifique (mandat 2016-2021) est consultable sur le site web des élections du CNRS. Vous pouvez vérifier votre inscription et formuler toute réclamation sur ce site. Date limite de réception des réclamations sur la liste électorale : 12 février 2016.

Vignette illustrant cette actualité

Les agents CNRS dans les unités de l’Institut de recherche pour le développement (IRD) sont invités à s'inscrire sur la liste électorale pour l’élection des membres des commissions scientifiques et du conseil scientifique. Date limite : 8 février 2016.

Vignette illustrant cette actualité

Frédérique de Fornel et Astrid Lambrecht, directrices de recherche au CNRS, sont nommées directrices adjointes scientifiques de l'INP, en charge respectivement de la politique de sites et des "Milieux dilués, optiques et lasers, plasmas chauds".

Photo : Astrid Lambrecht (à gauche) ; Frédérique de Fornel (à droite)

Vignette illustrant cette actualité

Fanny Farget, chargée de recherche au CNRS, est nommée directrice adjointe scientifique, en charge du domaine "Nucléaire et Applications".

Vignette illustrant cette actualité

Paul Indelicato, directeur de recherche au CNRS, est nommé conseiller en charge de la recherche au cabinet du secrétaire d’État chargé de l’Enseignement supérieur et de la Recherche.

 

  Innovation et relations avec les entreprises haut de page

Vignette illustrant cette actualité

Issue du laboratoire CNRS PROMES et de l’Université de Perpignan Via Domitia (UPVD), la start-up Eco-Tech-Ceram va finaliser le développement d’une solution de stockage thermique modulaire, transportable, et basée sur l’utilisation de matériaux de stockage thermique issus de l’économie circulaire (valorisation de déchets industriels inorganiques).

© Site ANR

Vignette illustrant cette actualité

Le prix scientifique et technologique Pierre Potier "L’innovation en chimie en faveur du développement durable" a pour objectif de mettre en lumière les initiatives de l'industrie chimique en faveur du développement durable et de favoriser le développement de démarches écoresponsables dans la filière. Les start-ups issues du CNRS peuvent candidater. Date limite : 31 mars 2016.

Vignette illustrant cette actualité

Evénement consacré à l'innovation en Europe, Techninnov se tiendra le 11 février 2016 à l'aéroport de Paris-Orly. CNRS formation entreprises, l'organisme de formation continue du CNRS à destination des professionnels des secteurs privé et public, disposera d'un stand dédié.

Vignette illustrant cette actualité

A l'occasion des premières Journées nationales de l'innovation en santé qui se sont tenues en janvier dernier à Paris, le CNRS a dressé un bilan chiffré des inventions, technologies et entreprises innovantes en santé issues de ses laboratoires.

  Vie scientifique haut de page

Vignette illustrant cette actualité

Une mission de concertation et de propositions relatives à l'intégrité scientifique a été confiée, par Thierry Mandon, secrétaire d'État chargé de l'Enseignement supérieur et de la Recherche, à Pierre Corvol, professeur émérite et administrateur honoraire du Collège de France. Elle doit permettre d'élaborer un bilan des actions développées à l'étranger et en France, afin de faciliter la mise en œuvre des bonnes pratiques d'intégrité scientifique.

© Site MENESR

  Appel à projets haut de page

Vignette illustrant cette actualité

L'Académie des sciences remet, chaque année, près de 80 prix couvrant l'ensemble des domaines scientifiques, aussi bien fondamentaux qu'appliqués. La liste des prix ainsi que les dates limites de candidatures sont en ligne.

Vignette illustrant cette actualité

La Mission de recherche Droit et Justice, groupement d'intérêt public (GIP), lance sa campagne d’appels à projets. Les thèmes retenus pour 2016 sont  : droit, justice et numérique ;  le racisme ; la laïcité dans la justice ; la barémisation de la justice. Date limite de dépôt de dossiers : 15 avril 2016. Des projets spontanés (projet de recherche, projet de colloque ou demande d'aide à la publication) peuvent également être présentés, hors de la procédure d’appels à projets (date limite : 1er avril 2016).

En délégation Rhône Auvergne

  À la une haut de page

Vignette illustrant cette actualité

Ce concours, dont l’organisation nationale est portée par la CPU et le CNRS, permet aux doctorants de présenter leur sujet de recherche, en français et en termes simples, à un auditoire profane et diversifié, en trois minutes. Les inscriptions sont désormais ouvertes, et jusqu'au 18 mars, pour les doctorants des établissements clermontois.

En savoir plus

  Actualités de la délégation haut de page

Vignette illustrant cette actualité

L'Université de Lyon lance ce vendredi 5 février l'opération de réhabilitation des quartiers scientifiques du campus LyonTech-la Doua. Les personnels du campus sont conviés à assister à la retransmission du lancement officiel du projet, en présence de Najat Vallaud-Belkacem, de 11h à 13h. Jusqu'à 16h, une exposition permettra également de découvrir le projet. Cet événement se tiendra sous un chapiteau, entre l'amphithéâtre Gaston Berger et la BU Sciences de l'Université Lyon 1.

En savoir plus

Vignette illustrant cette actualité

Le service communication de la Délégation Rhône Auvergne du CNRS propose une matinée d’échanges autour de la pratique des réseaux sociaux dans la communauté scientifique et en particulier pour le CNRS. L’objectif est de se familiariser avec ces outils et d’identifier les opportunités d’utilisation dans le cadre de la communication autour des activités des laboratoires et des chercheurs. Cette rencontre sera animée par Loïc Bommersbach, community manager du CNRS. Elle s’adresse aux correspondants information-communication et à tout membre de laboratoire de la Délégation intéressé par le sujet. Elle aura lieu le 18 mars 2016 à la Délégation. Inscription obligatoire avant le 7 mars.

En savoir plus

  Actualités scientifiques haut de page

Vignette illustrant cette actualité

Des chercheurs du LMI (Lyon) et du LLB (Saclay), en collaboration avec l’INAC (Grenoble) et les Universités de Yamagata et Kwansai Gakuin (Japon), ont utilisé la diffraction des neutrons polarisés pour déterminer pour la première fois de manière sûre comment se comportent des molécules de complexes métalliques dans un champ magnétique (anisotropie magnétique). Ces résultats qui ouvrent de nouvelles perspectives pour l’optimisation des molécules-aimants ont été publiés dans la revue Chemistry - A European Journal.

En savoir plus
© Dominique Luneau

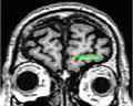
Vignette illustrant cette actualité

L’imagerie cérébrale par résonance magnétique fonctionnelle (IRMf) permet de mieux comprendre le fonctionnement du cerveau, et en particulier d’identifier les bases cérébrales de notre motivation pour obtenir un gain monétaire, ou la réponse du cerveau engendrée lors de l’obtention d’un tel gain. Cependant, la mesure du signal enregistré en IRMf est indirectement liée à l’activité neuronale. Des chercheurs de l’Institut des sciences cognitives Marc Jeannerod et de l’hôpital neurologique de Lyon, sont parvenus à enregistrer directement l’activité électrique d’une région antérieure du cortex cérébral nommée le cortex orbitofrontal. Ils ont ainsi pu mettre en évidence trois types de signaux encodés dans cette région lors de l’anticipation et de la réception de gains monétaires. Cette étude est publiée dans la revue Brain.

En savoir plus
© Jean-Claude Dreher

Vignette illustrant cette actualité

Les altérations du noyau spermatique sont des causes d’échecs reproductifs et de risque de transmission paternelle à la descendance de mutations génétiques. L’oxydation de l’ADN paternel est l’altération la plus fréquente. L’équipe de Joël Drevet au laboratoire GReD, révèle l’étendue de ces dommages oxydants sur les chromosomes des spermatozoïdes murins et met en évidence la susceptibilité différentielle des chromosomes à l’oxydation, liée à leur position dans le noyau spermatique. Cette étude est publiée dans la revue Free Radical Biology & Medicine.

En savoir plus

  Vie des laboratoires haut de page

Vignette illustrant cette actualité

Les acteurs de la culture scientifique œuvrent pour la diffusion des sciences dans l’objectif d’offrir aux citoyens l’occasion de comprendre le monde et de développer un esprit critique. Mais où en est la recherche dans ce domaine ? Les méthodes utilisées sont-elles toujours d’actualité ? L’ESPE de Chamalières et Astu’sciences organisent le 8 mars à 9h, une matinée de conférences-débats dans les locaux de l’ESPE à Chamalières (63), à destination de tous les professionnels s’impliquant dans des actions de diffusion des sciences : médiateurs scientifiques, chercheurs, enseignants… Inscription obligatoire.

En savoir plus

La Neurofibromatose de Type I (NFI) est une maladie génétique caractérisée par un éventail de déficits cognitifs et émotionnels. Le Centre de compétence neurofibromatoses Rhône-Alpes-Auvergne, avec le soutien de l'ARC 2 "Qualité de vie et vieillissement", organisent un après-midi d'échanges entre chercheurs et praticiens, le 26 février de 13h30 à 18h, au grand amphithéâtre de l'Université Lyon 2. Inscription obligatoire avant le 25 février.

En savoir plus

 

  À découvrir haut de page

Vingt ans après la découverte de la première exoplanète, des milliers de systèmes planétaires ont été découverts dans notre Galaxie. Que sont ces objets ? Peut-on envisager qu’ils accueillent, ou aient accueilli, la vie ? Ce sont toutes ces questions qui font de ce nouveau champ de recherche l’un des plus actifs et des plus passionnants de l’astronomie d’aujourd’hui et de demain. Cette conférence de Pierre Léna, astrophysicien, professeur émérite à l’Université Paris-Diderot, aura lieu le 6 février à 18h à Tence (43).

En savoir plus

Vignette illustrant cette actualité

Les comètes sont les objets les plus mystérieux de notre système solaire. Elles ont en effet gardé la trace des éléments d’origine, gaz et poussières, à partir desquels notre système solaire s’est assemblé. Autour de l’exposition "Comètes, à la poursuite de Rosetta", Olivier Sanguy, journaliste et rédacteur en chef d’Enjoy Space, propose une rétrospective de la prouesse scientifique et technologique de la sonde Rosetta et de son atterrisseur Philae. La conférence se déroulera le 17 février à 20h au Planétarium de Vaulx-en-Velin.

En savoir plus

Vignette illustrant cette actualité

Le domaine des prothèses et implants connaît aujourd’hui une petite révolution, grâce à de nouveaux matériaux permettant de concevoir des prothèses qui n’existaient pas jusqu’alors. Encore émergente, l’ingénierie tissulaire mise, elle, sur la "repousse" des tissus du corps – peau, os et même organes – et pourrait nous permettre à terme de nous passer de prothèses. Le débat organisé sur ce thème à l’occasion des Journées Innovation et santé, avec la participation d'Helen Reveron (laboratoire MATEIS), est à réécouter sur le site de CNRS le journal

En savoir plus

Dates limites haut de page

Les actualités qui suivent sont celles dont la date limite est proche.
Pour consulter la liste complète des actualités avec dates limites, cliquez ici.

CNRS Hebdo Rhône Auvergne

Gestion de votre abonnement : https://www.cnrs.fr/actualite-du-cnrs/rhone-auvergne/Abonnement.aspx
Vos remarques sur le contenu éditorial : DR07.communication@cnrs.fr
Vos remarques sur le fonctionnement technique : support-CNRSHebdo@dr14.cnrs.fr

CNRS Hebdo Rhône Auvergne
Pour vous abonner ou vous désabonner au CNRS Hebdo Rhône Auvergne, cliquez ici

Vous pouvez nous faire part de vos informations et vos remarques à l'adresse suivante : CNRS-Hebdo

Les informations recueillies font l'objet d'un traitement informatique destiné à la diffusion d'une lettre d'information. Le destinataire des données est le Service du système d'information (SSI) de la Délégation Rhône Auvergne. Conformément à la loi "informatique et libertés" du 6 janvier 1978, vous bénéficiez d'un droit d'accès et de rectification aux informations qui vous concernent. Si vous souhaitez exercer ce droit et obtenir communication des informations vous concernant, veuillez vous adresser au Service du systèm

Mentions Légales - Cookies - Données personnelles