L'actualité du CNRS

Le CNRS national

À la une

Vignette illustrant cette actualité

Le CNRS ouvre une concertation préalable sur le Projet du Centre national de primatologie (CNP)

Le CNRS lance une concertation préalable du 16 octobre au 16 novembre 2025 autour du Projet du Centre national de primatologie (CNP), un projet majeur pour la recherche fondamentale en France et en Europe. Cette initiative volontaire, indépendante et encadrée par un garant de la Commission nationale du débat public (CNDP), vise à permettre à toutes et tous de s’informer, de poser des questions et de contribuer à la réflexion sur les enjeux scientifiques, éthiques, environnementaux et territoriaux du projet.

France 2030

Vignette illustrant cette actualité

France 2030 : les sciences humaines et sociales en action

D’abord centré sur les technologies de demain, le programme France 2030 s’est enrichi en 2024 d’un appel dédié aux sciences humaines et sociales, centré sur les grands sujets de société de demain. Six consortiums ont été retenus, doté de 9 millions d'euros. Le CNRS est partenaire de chacun. Leur objectif : enrichir les connaissances et en faire un levier d’expertise pour la décision publique. 

Vie scientifique

Vignette illustrant cette actualité

Les sources hydrothermales peuvent désormais servir à anticiper des éruptions sous-marines

Une hausse de la température des fluides émis par les sources hydrothermales sous-marines signale l’inflation de la chambre magmatique sous le fond marin et peut annoncer une éruption. C’est ce que révèle une étude menée par des scientifiques du CNRS du laboratoire Geo-Ocean (CNRS/Université Bretagne Occidentale/Ifremer), de Géologie de l’ENS et de l’IPGP, et leurs collègues américains, suite à l’analyse de 35 ans de données sur les sources hydrothermales de la dorsale Est-Pacifique.

Vignette illustrant cette actualité

Vers des composants électroniques pilotables par la lumière

Et si demain, nos téléphones portables et nos données internet fonctionnaient grâce à la lumière plutôt qu'à l’électricité ? Pour la première fois, une équipe de recherche internationale menée par des scientifiques du CNRS vient de découvrir comment générer un gaz d’électrons, élément que l’on retrouve par exemple dans les écrans LED, en éclairant un matériau constitué de couches d’oxydes. Explications :

Stratégie & gouvernance

Vignette illustrant cette actualité

Catherine Grandhomme, nouvelle directrice des relations avec les entreprises du CNRS

Nommée à la tête de la Direction des relations avec les entreprises (DRE) en mai 2025, Catherine Grandhomme évoque son parcours, les prochains objectifs de la DRE et l’élan qu’elle souhaite lui insuffler.

Science ouverte

Vignette illustrant cette actualité

Participez à l’enquête sur les usages du portail Persée

Dans le cadre de sa démarche d'amélioration continue sur la valorisation du patrimoine scientifique, l'UAR Persée lance une enquête afin de mieux comprendre les usages du portail Persée, les attentes des communautés d'utilisateurs, et plus largement les pratiques scientifiques en recherche d’information. Cette enquête anonyme, d’une dizaine de minutes, s’adresse à tous les usagers des plateformes de diffusion scientifique. Vous pouvez y participer jusqu'au 24 octobre 2025.

Innovation & entrepreneuriat

Vignette illustrant cette actualité

RENNAT : un laboratoire commun unique en son genre

La nature en milieu urbain est soumise à de multiples stress, aggravés par les effets déjà sensibles du changement climatique. Comment mieux comprendre les mécanismes en jeu afin de proposer des réponses adaptées à l’échelle de la ville, avec l’objectif de réduire la vulnérabilité du territoire face à l’évolution du climat ?

S'engager ensemble

Vignette illustrant cette actualité

Au CNRS, les femmes en science sur le devant de la scène

Tandis que La Science taille XX elles lance sa huitième édition, sept ans après la première, CNRS Ingénierie inaugure avec « Ingénieuses » une nouvelle exposition photographique itinérante.

Diffusion des savoirs

Vignette illustrant cette actualité

Colloque de restitution : expertise scientifique collective « Terres rares »

Le CNRS, via la Mission pour l’expertise scientifique (MPES), a conduit une expertise scientifique collective qui envisage les terres rares à travers leurs usages tout au long de leur cycle de vie, les perspectives de sobriété, de recyclage et de modes d’extraction alternatifs. Les experts et les expertes présenteront les principaux résultats de cette expertise lors d’un colloque de restitution qui se tiendra le 14 novembre à 14h au Collège de France, introduit par Antoine Petit, Président-directeur général du CNRS.

Actualités administratives

Vignette illustrant cette actualité

Portail DATA : importez vos propres données !

Portail DATA, s'enrichit d'une nouvelle fonctionnalité d’import de vos propres données pour compléter l’offre de création de tableaux de bords déjà à disposition. Déployé dans le cadre du projet User First, Portail DATA est depuis 2022 votre concentrateur de données CNRS. Il vous aide dans le pilotage de votre unité et dans la réponse aux enquêtes.

À découvrir

Vignette illustrant cette actualité

Découvrez quatre PEPR au festival Pariscience

Venez découvrir les recherches et avancées de programmes nationaux dans le domaine des grands fonds marins, des mathématiques, de la psychiatrie de précision ou encore du stockage du carbone dans les écosystèmes continentaux grâce aux conférences flash proposées les vendredi 24 et samedi 25 octobre dans ce festival gratuit et grand public. Le PEPR Grands fonds marins participera également à un débat le jeudi 23 octobre au soir suite à la projection du film How deep is your love.

Vignette illustrant cette actualité

À la base du corps, une seule cellule | Brève de Science

Le nouvel épisode de Brève de Science vous propose de découvrir l’un des grands mystères des premiers jours de vie : comment une cellule, qui a au départ la forme d’une sphère, parvient à se diviser et à se déformer progressivement pour donner forme à tous les organes et au corps humain ? Jean-Léon Maître, biologiste CNRS à l’institut Curie, raconte

Vignette illustrant cette actualité

CNRS Le Journal n° 321 est sorti !

Dossier : les grandes infrastructures de recherche, et aussi : Médaille d’or du CNRS : La couronne solaire révèle ses mystères, Scientifiques : un guide pour s’adresser aux médias, Oui, les ados peuvent résister aux fake news, Le mythe de la transition énergétique…

Vignette illustrant cette actualité

Retour en images sur les Échappées inattendues du CNRS 2025

Sillonner les terres polaires ou aller à la rencontre de Saru, le singe des neiges ? Retour en images sur les Échappées inattendues du CNRS qui se sont déroulées à la Cité des sciences et de l'industrie à Paris, du 3 au 5 octobre pendant la Fête de la science 2025. Le CNRS a offert au grand public l’opportunité d’explorer la science au cours de temps d’échanges originaux et participatifs en compagnie de scientifiques travaillant sur de grands défis actuels.

Vignette illustrant cette actualité

L’histoire cachée des instruments de musique

Quel est le point commun entre le târ iranien et les luth européens ? En quoi le banjo américain témoigne-t-il de la traite des esclaves ? Au Musée de la musique, à Paris, les instruments racontent leurs évolutions et leurs voyages au fil de l’histoire, et continuent de relier les peuples.

En délégation Ile-de-France Gif-sur-Yvette

Vie scientifique

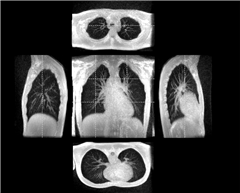
Vignette illustrant cette actualité

Mieux diagnostiquer les maladies respiratoires grâce à la spirométrie 3D par résonance magnétique

À travers le projet V|LF-Spiro3D, les scientifiques développent la spirométrie 3D par résonance magnétique pour l’imagerie pulmonaire. Cette technique pourrait permettre un meilleur diagnostic et un meilleur suivi des maladies respiratoires. Ce projet est piloté au Laboratoire d'imagerie biomédicale multimodale Paris-Saclay (BioMaps - CEA/CNRS/Inserm/Université Paris-Saclay).

Innovation & entrepreneuriat

Vignette illustrant cette actualité

Deeptech connect 2025 : un rendez-vous pour faciliter l’innovation de rupture

Vous avez créé votre start-up ou projetez de le faire ? Le mardi 4 novembre 2025, participez à l’édition 2025 du Deeptech connect, l’événement de mise en relation de 200 startups issues de la recherche publique avec les investisseurs et industriels en recherche de solutions technologiques.

Vignette illustrant cette actualité

Synthétiser des composés naturels pour dépolluer l’eau

Le projet Oxyfilms, issu de travaux scientifiques menés au laboratoire Nanosciences et innovation pour les matériaux, la biomédecine et l'énergie (NIMBE - CEA/CNRS), a pour objectif de synthétiser des composés naturels, capables de dégrader des polluants, afin de les utiliser pour éliminer certaines pollutions des eaux.

Prix et distinctions

Vignette illustrant cette actualité

Six lauréates du Prix Jeunes Talents France 2025 issues de la communauté scientifique CNRS à Paris-Saclay

La Fondation L’Oréal, en partenariat avec l’Académie des sciences et la Commission nationale française pour l’UNESCO, a dévoilé le palmarès du Prix "Jeunes Talents France 2025 L’Oréal-UNESCO Pour les Femmes et la Science". Cette édition met à l'honneur 34 doctorantes et post-doctorantes dont les recherches prometteuses sont essentielles pour relever les défis scientifiques de demain et engagées à transmettre leur passion à la future génération de chercheuses.

Diffusion des savoirs

Vignette illustrant cette actualité

Appel à participation : « La Recherche en baskets » les 18 et 19 février 2026 à CentraleSupélec

Vous êtes doctorant et souhaitez faire découvrir votre parcours et votre thématique de recherche à des lycéens ? Partenaire du Paris-Saclay Summit, le CNRS vous invite à participer à La Recherche en baskets, un dispositif d’échanges entre doctorants et lycéens, les 18 et 19 février 2026 à CentraleSupélec (Gif-sur-Yvette).

Vignette illustrant cette actualité

Médiation scientifique : il reste encore des places à la formation "Pitcher son projet de recherche"

Le mardi 16 décembre 2025, l'IFSEM organise une formation à la médiation scientifique : Pitcher son projet de recherche.
Vous apprendrez à : 
- Présenter vos travaux de recherche de manière synthétique, fluide et dynamique en 5 à 10 minutes
- Articuler vos recherches avec les grands enjeux sociétaux pour capter l’attention d’un public non-expert
- Adapter votre discours à différents formats
Inscrivez-vous dès maintenant.

À découvrir

Vignette illustrant cette actualité

Retrouvez les articles de presse concernant les laboratoires du territoire de Paris-Saclay

Le CNRS vous présente la revue de presse de ses laboratoires de recherche établis sur le territoire de Paris-Saclay.

Dates limites

Les actualités qui suivent sont celles dont la date limite est proche.
Pour consulter la liste complète des actualités avec dates limites, cliquez ici.

L'actualité du CNRS Ile-de-France Gif-sur-Yvette

Gestion de votre abonnement : https://www.cnrs.fr/actualite-du-cnrs/iledefrance-gif/Abonnement.aspx
Vos remarques sur le contenu éditorial : redaction-lettre@dr4.cnrs.fr
Vos remarques sur le fonctionnement technique : support-CNRSHebdo@dr14.cnrs.fr

© CNRS
Direction de la publication : Antoine Petit
Direction de la rédaction : Jérôme Guilbert
Responsable éditoriale périmètre national : Sofia Nadir
Coordination et rédaction : Julie Lallemant
Responsable éditorial périmètre régional : Benoit Forêt
Coordination et rédaction régionale : Damien Guimier
Réalisation technique : Frédéric Druilhet
Création graphique : Clare Jones (agence CJP)
Intégration graphique : Philippe Dubrulle

Mentions Légales - Cookies - Données personnelles