Logo image de fond
La lettre d'info des Instituts du CNRS
Flèche gauche Édition du 26/06/2018 Flèche droite
En direct des labos
Cliquez-ici si la lettre ne s'affiche pas correctement.

Nouvelles publications scientifiques, créations de laboratoires, annonces de prix... Avec "En direct des labos", retrouvez toutes les deux semaines des informations issues des instituts du CNRS et complémentaires des communiqués de presse.

Institut des sciences biologiques (INSB)

Vers la caractérisation des asymétries cérébrales : 17 141 cerveaux passés au crible

Vignette

Au sein d’un consortium international, l’Institut des maladies neurodégénératives et le Max Planck Institute for Psycholinguistics ont caractérisé à partir d’IRM les asymétries de surface et d’épaisseur du cortex cérébral de 17 141 individus. Cette étude, publiée dans PNAS, est la plus vaste jamais réalisée et fournit une référence unique pour étudier les bases génétiques des asymétries cérébrales et l’altération de la latéralisation au cours de troubles cognitifs, neurologiques et psychiatriques.

Addiction à la cocaïne : vers une application chirurgicale dans le noyau subthalamique ?

Vignette

Une équipe de neurobiologistes de Marseille vient de montrer qu’il est possible de prévenir la mise en place de l’addiction à la cocaïne en bloquant une activité anormale dans une région du cerveau appelée le noyau subthalamique. Chez un modèle de rats « addicts », ils montrent que le blocage de cette région limite la rechute après une période d’abstinence. Ces données publiées dans Molecular Psychiatry ouvrent des perspectives dans le traitement de l’addiction.

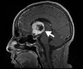
Un marqueur caractéristique d’un sous-type de tumeurs cérébrales

Vignette

Une étude conduite par des équipes de l’Institut du cerveau et de la moelle épinière a permis d’identifier une mutation associée à un sous-type rare de tumeur cérébrale, les gliomes chordoïdes, jamais décrite dans aucun autre type de tumeur humaine. Les résultats ont été publiés dans la revue Nature Communications.

Les microtubules « sentent » le volume cellulaire

Vignette

Lors du développement embryonnaire précoce, l’embryon maintient un volume constant alors que ses cellules se divisent rapidement, conduisant à la réduction progressive du volume cellulaire. Le fuseau mitotique qui sépare les chromosomes lors des divisions cellulaires est capable d'adapter sa taille au volume cellulaire. Une équipe de l’Institut Jacques Monod a identifié un mécanisme dépendant des microtubules, permettant au fuseau mitotique d'adapter sa taille tout en maintenant un temps d'assemblage constant. Ce mécanisme pourrait permettre aux cellules de se diviser avec succès quelles que soient leurs tailles. 

Des mutations « gain de fonction » d’un canal calcique dans l'atrophie cérébelleuse de l’enfant

Vignette

Des chercheurs de l’Institut de génomique fonctionnelle de Montpellier et de l’Institut des maladies génétiques Imagine se sont associés pour identifier et caractériser des gènes responsables de l’atrophie cérébelleuse de l’enfant. Cette étude, publiée dans la revue Brain, identifie comme mécanisme causal de cette pathologie l’activité exacerbée d’un canal calcique de type T.

Institut de chimie (INC)

Thérapie génique : la modélisation pour un criblage plus efficace

Vignette

Un des défis de la thérapie génique est de développer de nouveaux vecteurs, ces molécules capables de transporter les « outils thérapeutiques » jusqu’au cœur de la cellule. Les dendrimères, macromolécules à la structure ramifiée, peuvent remplir ce rôle de vecteur. Une équipe franco-suisse montre que la modélisation peut prévoir les différences de comportement constatées entre plusieurs dendrimères similaires, laissant imaginer qu’un grand nombre de tests pourraient être pilotés virtuellement, épargnant ainsi l’effort de nombreuses expériences en laboratoire et sur l’animal. Ces travaux sont parus dans Nanoscale.

Spinofrin, la première start-up issue du CNRS co-créée avec un « start-up studio »

Vignette

Directeur du laboratoire des Nanomatériaux pour les systèmes sous sollicitations extrêmes qu’il a fondé il y a une dizaine d’années, Denis Spitzer se décrit lui-même comme « un chercheur qui a les pieds sur terre ». Sa recherche ? Il a toujours cru qu’elle aboutirait. La question la plus complexe était de savoir comment la valoriser et la transférer. La réponse s’est concrétisée dans le rapprochement avec le « start-up studio » Technofounders avec lequel il a cofondé la start-up Spinofrin. Le chercheur nous explique ce choix de business model et nous confie sa vision de la création d’entreprises par des chercheurs.

Clément Sanchez, créateur d’une école de pensée en science des matériaux

Vignette

Entre synthèse, structure et propriétés d’un matériau, entre disciplines scientifiques, entre  nature et industrie, entre ses collègues, etc. : Clément Sanchez, professeur au Collège de France et chercheur au sein du Laboratoire chimie de la matière condensée de Paris, aime créer des liens et n’est pas avare en nouvelles idées. La communauté scientifique le lui rend bien : le chercheur a reçu ses dernières années de nombreux prix et nominations.

Une nouvelle gamme de détecteurs micrométriques

Vignette

Grâce aux MEMS, ou systèmes microélectromécaniques, l’électronique moléculaire dispose de composants adaptés à l’échelle du micron. Des chercheurs du CNRS et de l’université de Bordeaux ont ainsi mis au point une série de détecteurs pour d’infimes variations de température, de lumière ou encore de composition chimique. Ces travaux, publiés dans Scientific Reports, combinent des couches de molécules déformables et un résonateur. Tout phénomène capable de déformer ces molécules peut ainsi être détecté à l’échelle des MEMS.

Le rôle crucial du couple tyrosine/histidine dans la photosynthèse

Vignette

Enzyme clé de la photosynthèse, le photosystème II libère des électrons et protons nécessaires à la fixation du CO2 par les plantes. Alors que ce processus pourrait être mimé afin de valoriser le CO2, les chemins de transport de ces protons restent énigmatiques. Des chercheurs du CNRS et des universités Paris-Sud, Aix-Marseille et d’Héraklion en Grèce ont montré, grâce à un modèle bioinspiré, que la paire d’acides aminés tyrosine/histidine joue un rôle majeur dans l’évacuation des protons. Ces travaux, publiés dans la revue Angewandte Chemie International Edition, fournissent de précieux éléments pour développer une photosynthèse artificielle.

Synthèse totale d’une molécule cytotoxique aux vertus anticancéreuses

Vignette

Le monde végétal inspire constamment la chimie, mais comment faire lorsqu’une plante d’intérêt ne vit en symbiose que dans un seul endroit reculé ? L’algue Amphidinium cohabite ainsi avec une bactérie uniquement dans la baie japonaise d’Okinawa, où elles produisent une famille de molécules cytotoxiques pouvant servir en chimiothérapie anticancéreuse : les amphidinolides. Des chercheurs du laboratoire BioCIS sont parvenus à synthétiser totalement l’amphidinolide F. Ces travaux sont publiés dans Organic Letters.

Institut écologie et environnement (INEE)

Sur les traces du Rhinopithèque de Biet

Vignette

Le Rhinopithèque de Biet est une espèce de primate très menacée qui vit dans la forêt de montagne de XiangGuQing, dans la région du Yunnan en Chine, entre 2 500 et 4 130 m d'altitude. Une étude récente à partir de la distribution des indices d'activité documente comment les Rhinopithèques de Biet sont répartis sur de vastes zones et comment les populations actuellement isolées peuvent se reconnecter. Ces recherches, fruit d'une collaboration franco-chinoise, ont été publiées dans Mammalia et sélectionnées dans Science Discoveries.

L’homme, une espèce cancérigène pour la faune sauvage ?

Vignette

Les activités humaines pourraient conduire à une augmentation des taux de cancer dans la faune sauvage, comme le suggère une étude menée en collaboration entre le CNRS et des organismes américains et australiens, publiée récemment dans Nature Ecology and Evolution. Ainsi, l’espèce humaine pourrait être définie comme une espèce cancérigène avec des conséquences majeures sur le fonctionnement des écosystèmes.

Institut des sciences humaines et sociales (INSHS)

Lancement d'un portail dédié aux caricatures de la presse égyptienne

Vignette

Dans la continuité du portail des coupures de presse, le Centre d'études et de documentation économiques, juridiques, et sociales vient de mettre en ligne, en partenariat avec la Bibliotheca Alexandrina, un nouveau portail web qui présente, en arabe, les caricatures de la presse égyptienne classées thématiquement sur 40 ans, de 1970 à 2010.

Institut des sciences de l'ingénierie et des systèmes (INSIS)

Biofaçade : deux années de culture d’algues à front d’immeuble

Vignette

Au moment de choisir un endroit où cultiver des algues, la devanture d’un immeuble n’est a priori pas la première idée qui vient. La biofaçade du Centre scientifique et technique du bâtiment à Champs-sur-Marne (77) fête pourtant ses deux premières années d’activités, avec ses 200 m² de bioréacteurs étalés sur quatre étages. Piloté par le consortium SymBIO2, auquel participe le laboratoire Génie des procédés - environnement - agroalimentaire, ce programme montre le potentiel fascinant de la production d’algues en milieu urbain.

L’inversion régulière des vents de l’équateur : un modèle complet à partir de la turbulence atmosphérique

Vignette


Face à la complexité des phénomènes et à la limite des moyens de calcul, les modèles climatiques se construisent sur des paramètres ajustables et des approximations de la physique des fluides. Cela influence significativement leur précision et leurs prédictions. Dans un nouveau modèle, des chercheurs de l’Institut de recherche sur les phénomènes hors équilibre montrent le caractère générique de l’inversion régulière des vents au-dessus de l’équateur, et soulignent les limites des modèles climatiques. Ces travaux sont publiés dans la revue Physical Review Letters.

Des séquences d'acides nucléiques identifiées en une seule étape

Vignette

Des chercheurs du LAAS-CNRS ont réalisé un capteur nanofluidique capable de discriminer, en une seule étape, des séquences de nucléotides (ARN, ADN) qui ne diffèrent que par une seule paire de bases. La technologie pourrait être appliquée au dosage de biomarqueurs moléculaires de certains cancers. Ces résultats sont publiés dans la revue ACS Sensors.

Institut national des sciences mathématiques et de leurs interactions (INSMI)

Régularité et équations de continuité : du nouveau en mécanique des fluides compressibles

Vignette

Dans un travail récent, Didier Bresch et Pierre-Emmanuel Jabin introduisent une nouvelle méthode d’estimations quantitatives de régularité très faible pour les équations de continuité. Cette méthode leur a déjà permis d’apporter une réponse à deux problèmes ouverts sur les équations de Navier-Stokes compressibles.

Institut de physique (INP)

La brisure de symétrie de la récurrence de Fermi-Pasta-Ulam enfin observée

Vignette

Des physiciens viennent pour la première fois de mesurer plusieurs récurrences de Fermi-Pasta-Ulam successives en étudiant la propagation d’impulsions lumineuses dans une fibre optique dont l’absorption avait été artificiellement éliminée. Ceci leur a permis d’étudier la dynamique de ce phénomène et notamment d’observer l’apparition d’une brisure spontanée de symétrie. Ces travaux sont publiés dans la revue Nature Photonics.

Repousser la limite de la conductance d’un matériau en contrôlant les interactions entre électrons

Vignette

Des physiciens ont observé que le courant électrique peut dépasser la limite quantique théorique de conductance en exploitant les corrélations se développant au voisinage d’une transition de phase quantique. Ces travaux sont publiés dans la revue Science.

Les cellules sont-elles chatouilleuses ?

Vignette

Des micro-piliers en fer actionnables par un champ magnétique ont été incorporés dans une fine couche d’élastomère afin d’exercer sur des cellules des contraintes voisines de celles du milieu in vivo. Le dispositif enregistre à la fois la réponse mécanique et la réponse biochimique des cellules et permet d’en suivre l’évolution spatio-temporelle à une échelle sub-cellulaire. Ces travaux sont publiés dans la revue Scientific Reports.

Googlomics : le cancer scruté par l’algorithme de Google

Vignette

Une méthode dérivée du célèbre algorithme PageRank de Google et empruntant à la théorie quantique de la diffusion a été appliquée à un réseau de protéines et a permis de déceler des relations causales cachées entre certaines protéines. Cette méthode permet de mieux comprendre les liens entre les protéines, notamment comment ceux-ci sont modifiés dans le cas de pathologies. Ces travaux sont publiés dans la revue PLoS ONE.

Institut national des sciences de l'Univers (INSU)

Le modèle cosmologique le plus simple de nouveau favorisé ?

Vignette

En 2013, les résultats de Planck ont mis en évidence pour la première fois un désaccord entre les paramètres cosmologiques déterminés par le fond diffus cosmologique et ceux obtenus en analysant l’abondance des amas de galaxies détectés par Planck. Celui-ci fut confirmé lors de la seconde analyse de Planck en 2015 ainsi que par des analyses indépendantes impliquant l’utilisation du lentillage gravitationnel ou d’amas de galaxies observés dans le domaine des rayons X. Des chercheurs de l’Institut d’astrophysique spatiale montrent, à la lumière d’une nouvelle analyse, que le fond diffus cosmologique et l'abondance des amas de galaxies observés par Planck convergent vers le modèle cosmologique standard le plus simple, dominé par la matière noire froide et une constante cosmologique.

Un nouveau modèle rhéologique pour expliquer les glissements lents et les trémors non volcaniques

Vignette

Dans une publication récente parue dans Geophysical Research Letters, les chercheurs du laboratoire Géosciences Montpellier proposent un nouveau modèle mécanique basé sur l’étude de microstructures pour expliquer les phénomènes transitoires de glissements lents et les trémors non volcaniques. Leur modélisation allie une rhéologie ductile dépendante de la taille des grains, de la microfracturation, du colmatage ainsi que des variations de la pression de fluide, en fonction des changements de porosité et de pompage des fluides. L’évolution dynamique des microstructures définit ainsi des cycles de localisation ductile de la déformation en lien avec une augmentation de la pression de fluide.

Première prédiction des propriétés du fond stochastique d’ondes gravitationnelles d’origine astrophysique

Vignette

La détection des ondes gravitationnelles par les interféromètres Ligo et Virgo a ouvert  une nouvelle fenêtre observationnelle en astrophysique. Une équipe de chercheurs de l’Institut d’astrophysique de Paris, de l’université d’Oxford et de l’Institut Max-Planck pour la physique gravitationnelle a établi les propriétés des anisotropies du fond stochastique d’ondes gravitationnelles généré par  toutes les sources astrophysiques non résolues. Elle présente dans la revue Physical Review Letters, la première prédiction du spectre angulaire de cette nouvelle observable astrophysique. Ce travail ouvre un nouveau champ d’étude au croisement de la relativité générale, de l’astrophysique et de la cosmologie.

Quand les sources hydrothermales fertilisent l’océan de surface dans le Pacifique Sud-Ouest

Vignette

Pour la première fois, des mesures de fer dans le Pacifique Sud-Ouest révèlent que des apports sous-marins hydrothermaux peu profonds dans la région de l'Arc des Tonga fertilisent les eaux éclairées de cette vaste région. Ces résultats aident à mieux comprendre le fonctionnement des écosystèmes pélagiques de cette région.

Directeur de la publication : Antoine Petit
Directrice de la rédaction : Brigitte Perucca
Responsable éditorial : Julien Guillaume
Secrétaires de rédaction : Priscilla Dacher, Véronique Étienne, Alexiane Agullo, Fabienne Arpiarian
Comité éditorial : Christophe Cartier Dit Moulin, Sophie Félix, Stéphanie Younès (INC) ; Floriane Vidal, Elodie Vignier (INEE) ; Marine Charlet-Lambert, Jean-Michel Courty, Marie Signoret (INP) ; Pétronille Danchin, Emmanuel Royer (INSMI) ; François Mercier, Perrine Royole-Degieux, Robin Lambert (IN2P3) ; Marina da Silva Moreira, Pierre Netter, Conceicao Silva, Aurélie Meilhon (INSB) ; Armelle Leclerc, Nacira Oualli (INSHS) ; Muriel Ilous, Chloé Rimailho (INSIS) ; Victor Haumesser Savio, Laure Thiébault (INS2I) ; Dominique Armand, Géraldine Gondinet (INSU).