Logo image de fond
La lettre d'info des Instituts du CNRS
Flèche gauche Édition du 26/11/2019 Flèche droite
En direct des labos
Cliquez-ici si la lettre ne s'affiche pas correctement.

Nouvelles publications scientifiques, créations de laboratoires, annonces de prix... Avec "En direct des labos", retrouvez toutes les deux semaines des informations issues des instituts du CNRS et complémentaires des communiqués de presse.

Institut des sciences biologiques (INSB)

Les nucléosomes dansent en rosette pour former le centromère

Vignette

Dans le cadre d’une collaboration multidisciplinaire, les chercheurs ont visualisé par microscopie optique à super-résolution la structure d’un centromère humain en cours de formation. Leurs travaux, publiés dans la revue Nature Communications, montrent les nucléosomes en train de s’organiser sous la forme d’une rosette autour d'une histone chaperonne pour donner naissance au centromère, préparant ainsi à la division cellulaire. C'est la première fois que des nucléosomes individuels peuvent être directement visualisés par microscopie optique ouvrant ainsi la voie à une étude plus fine de la fonction et de la structure du centromère.

Faire entendre des sons en illuminant le cerveau

Vignette

Le cortex auditif est une des régions cruciales pour la construction de nos perceptions sonores. Les chercheurs sont parvenus à modifier de manière ciblée la perception de sons chez des souris en utilisant une technique de stimulation optique de petits ensembles de neurones du cortex auditif. Cette étude est publiée dans la revue Neuron.

Comment les bactéries associées à la maladie de Crohn tolérent les antibiotiques

Vignette

Dans une étude publiée dans la revue PLOS Pathogens, les chercheurs ont observé que les bactéries Escherichia coli associées à la maladie de Crohn enclenchent de multiples réponses aux stress pour survivre et se multiplier dans les macrophages ou globules blancs. La croissance dans cet environnement hostile confère à ces bactéries une forte tolérance aux antibiotiques.

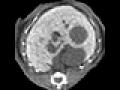
Les pixels du CERN ont permis de suivre la croissance de tumeurs spontanées chez la souris

Vignette

Grâce à un scanner à comptage de photons développé par des ingénieurs et des physiciens, des biologistes ont pu suivre pendant plusieurs mois la croissance tumorale de souris développant spontanément des tumeurs du foie et évaluer leur réponse à un traitement contre le cancer. Cette étude a été publiée dans la revue iScience.

Une vague transitoire d’hématopoïèse périnatale chez les vertébrés

Vignette

L'un des principaux défis de la médecine régénérative est de produire des cellules souches hématopoïétiques (CSH). Dans le cadre d'une collaboration avec l'Institut Ubrecht (Pays-Bas) les chercheurs démontrent l'existence d'une nouvelle vague hématopoïétique à partir de cellules endothéliales hématogènes résidentes de la mœlle osseuse du fœtus tardif et du jeune adulte. Cette vague fait la jonction entre la fin de l'hématopoïèse embryonnaire et le début de l’hématopoïèse médullaire chez le poulet et la souris. Les résultats de cette étude sont publiés dans la revue Nature Cell Biology.

Institut de chimie (INC)

Cytométrie de masse : des sondes pour un meilleur profilage cellulaire

Vignette

Méthode d’analyse très utile en immunologie, la cytométrie de masse fait appel à des sondes qui sont des anticorps couplés à différents isotopes métalliques, spécifiques de composants cellulaires à analyser. Une équipe du laboratoire CEMCA a développé des ligands innovants pour greffer ces métaux de façon irréversible sur l’agent de marquage, améliorant la sélectivité de la méthode. Une étude publiée dans la revue Chemistry - A European Journal.

Une synthèse et un auto-assemblage verts pour les polypeptides

Vignette

Polymères à base d’acides aminés, les polypeptides sont des briques macromoléculaires qui peuvent former des nanoparticules biocompatibles et biodégradables. Comme leur synthèse est complexe et demande l’emploi de solvants organiques, des chercheurs du Laboratoire de chimie des polymères organiques et de l’université de Boston proposent un procédé plus vert, dans l’eau et en moins d’étapes. Dans ces travaux publiés dans Angewandte Chemie International Edition, ils obtiennent à partir de cette synthèse des nanostructures aux formes originales.

Nouvelle stratégie pour l'optimisation des catalyseurs électrochimiques supportés

Vignette

L'amélioration des performances d'un catalyseur moléculaire peut s'envisager par la modification de sa structure, mais aussi de celle de la matrice qui le supporte, qui peut en changer totalement les propriétés. Dans le cadre d'une collaboration avec l'université de Bochum (Allemagne), les chercheurs montrent que dans des systèmes optimisés, ces effets peuvent prévenir l'inactivation d'un catalyseur d'oxydation de l'hydrogène par l'oxygène sans compromettre l'efficacité du système. Approche particulièrement utile dans le contexte des biopiles à combustible.

Institut écologie et environnement (INEE)

Comment atteindre les objectifs de développement durable ?

Vignette

Une synthèse des rapports de l’IPBES identifie les besoins de connaissances sur la gouvernance, les institutions et les liens entre les systèmes sociaux et écologiques pour atteindre les objectifs de développement durable en surmontant la perte de biodiversité actuelle. Ces travaux réalisés par une équipe internationale sont publiés dans la revue Nature Sustainability.

Institut des sciences de l'information et de leurs interactions (INS2I)

Des scientifiques primés pour leurs travaux sur les feature models

Vignette

Dix ans après leur publication précurseuse, les travaux de Mathieu Acher de l'Institut de recherche en informatique et systèmes aléatoires, de Philippe Collet et de Philippe Lahire du laboratoire Informatique, signaux et systèmes de Sophia-Antipolis, ainsi que du défunt Robert France continuent de stimuler le monde des feature models. La conférence internationale ACM SIGPLAN sur l’ingénierie des langages de programmation vient donc de leur décerner le prix de l’article le plus influent.

Systèmes distribués et consensus : Bernadette Charron-Bost primée par l’Académie des sciences

Vignette

Pionnière dans la modélisation des systèmes distribués, Bernadette Charron-Bost a reçu le grand prix Huy Duong Bui de l’Académie des Sciences. Ses travaux portent sur l’algorithmique du consensus et la tolérance aux pannes, avec des applications dans le contrôle aérien ou les systèmes bancaires.

Francis Bach lauréat du prix d’optimisation Jean-Jacques Moreau de l’Académie des sciences

Vignette

Avec l’effervescence actuelle de la recherche en intelligence artificielle, les algorithmes ont besoin d’être toujours plus rapides et efficaces. Francis Bach, chercheur Inria au département d’informatique de l’École normale supérieure, travaille ainsi à leur optimisation pour et grâce au machine learning.

Françoise Lamnabhi-Lagarrigue reçoit le prix Irène Joliot-Curie

Vignette

Pour ses recherches en automatique aussi théoriques qu’appliquées, Françoise Lamnabhi-Lagarrigue du L2S a reçu le prix Irène Joliot-Curie de la femme scientifique de l’année. Ses solutions ont des applications multiples pour les systèmes dynamiques, et se concentrent sur les énergies renouvelables et les neurosciences.

Institut des sciences de l'ingénierie et des systèmes (INSIS)

Du germanium nanoporeux pour des cellules solaires multijonctions moins chères

Vignette

Malgré leurs excellentes performances énergétiques, certains panneaux solaires restent encore trop chers pour être déployés en masse. Des chercheurs du Laboratoire nanotechnologies et nanosystèmes, du Centre de nanosciences et de nanotechnologies et de l’Université de Warwick au Royaume-Uni ont donc réduit les coûts des cellules solaires multijonctions grâce à du germanium nanoporeux. Publiés dans Nature Communications, ces travaux permettent de réduire la présence de défauts sur différents substrats cristallins.

Un nouveau modèle pour étudier la plasticité des cristaux

Vignette

Des chercheurs du Laboratoire des sciences des procédés et des matériaux ont développé un nouveau modèle de la plasticité des cristaux, grâce auquel il est possible de simuler leur déformation à l'échelle du micron. Une avancée pour l'amélioration des propriétés mécaniques des matériaux, et le contrôle de leur mise en forme. Les résultats sont publiés dans les Physical Review Letters.

Des supports 3D pour étudier la croissance des cellules intestinales

Vignette

Difficile de reproduire des conditions physiologiques dans une simple boîte de Petri. Une bonne culture de cellules intestinales réclame en effet des milieux tridimensionnels complexes. Pour pouvoir étudier leur croissance, des chercheurs du LAAS-CNRS et du LBCMCP impriment des supports de culture en 3D à très haute résolution. Publiés dans la revue Biomaterials, ces travaux montrent que les cellules ainsi cultivées se comportent de façon similaire aux cellules intestinales.

Quand l'optique éclaire la formation des vagues scélérates

Vignette

La propagation d'une impulsion lumineuse dans une fibre optique peut donner naissance à des "ondes scélérates", analogues aux vagues scélérates de grande amplitude à la surface des océans. Des chercheurs de l'institut FEMTO-ST ont contribué à mettre en évidence cette analogie, qui ouvre des perspectives en océanographie, mais aussi vers la conception de sources laser plus puissantes et plus stables. Ils ont publié, en collaboration avec des chercheurs de France, Finlande, Irlande, et Australie, un article dans la revue Nature Reviews Physics.

Institut national des sciences mathématiques et de leurs interactions (INSMI)

La conjecture d’Igusa sur les sommes exponentielles pour les singularités non-rationnelles

Les sommes finies de vecteurs dans le plan jouent beaucoup de rôles en mathématiques, par exemple pour le traitement du signal via la transformation de Fourier discrète, mais aussi dans de nombreux problèmes de théorie des nombres. En 1978, Igusa met en avant une conjecture sur les sommes exponentielles et démontre le cas homogène lisse. Le cas des singularités non rationnelles de cette conjecture vient d’être résolu par R. Cluckers, directeur de recherche au CNRS, M. Mustata, professeur à l’université de Michigan, et K. H. Nguyen, postdoctorant à l’université KU Leuven.

Institut de physique (INP)

Cartographier à l’échelle nano l’électroluminescence d’un semiconducteur bidimensionnel

Vignette

Pour la première fois, des physiciens ont sondé localement à l’échelle nanométrique les propriétés d’électroluminescence d’un semi-conducteur bidimensionnel, du diséléniure de molybdène MoSe2. Ces mesures leur ont permis d’identifier les mécanismes d’émission et l’influence des défauts.

Comment une cellule vivante peut ramper dans un liquide

Vignette

Comprendre les mécanismes de déplacement des cellules vivantes dans l’organisme est d’intérêt majeur pour les applications médicales. Des chercheurs montrent que le processus biophysique assurant le déplacement cellulaire sur un substrat solide, par une sorte de rampement, est suffisamment versatile pour expliquer également comment une cellule nage dans un fluide.

Des protéines formées à la nano-orfèvrerie

Vignette

Des physico-chimistes et des biochimistes ont créé et optimisé, par évolution dirigée, des protéines artificielles reconnaissant spécifiquement une orientation cristalline de l'or. Lors de la croissance de nanoparticules, ces protéines en contrôlent la forme, la cristallinité et les propriétés de surface.

Conversion entre courant de charge et courant de spin : l’efficacité des systèmes bidimensionnels

Vignette

La conversion de courant de charge (courant électrique) à courant de spin (aimantation transportée par électrons) et la conversion inverse sont les opérations de base des dispositifs de spintronique. Les auteurs décrivent comment comparer l’efficacité des deux types de conversion. Ils montrent la meilleure efficacité des systèmes bidimensionnels comparés aux systèmes tridimensionnels et aussi l’erreur fréquente des interprétations de conversions bidimensionnelles.

Institut national de physique nucléaire et de physique des particules (IN2P3)

L’Observatoire Pierre Auger fête ses 20 ans

Vignette

Alors que l’Observatoire Pierre Auger fête ses 20 ans, Corinne Bérat, responsable France pour la collaboration éponyme nous parle de cet instrument, le plus vaste au monde, dédié à la chasse aux rayons cosmiques d’ultra haute énergie.

icône décorative Article complet

Une technique de la physique des particules permet de suivre l’évolution de tumeurs in-vivo

Vignette

Cette technique d'imagerie X à très faible dose a permis à des biologistes de suivre pendant plusieurs mois et sans effets secondaires l'évolution de tumeurs chez des souris. Une prouesse rendue possible par la collaboration du Centre de physique des particules de Marseille et de l’Institut biologie du développement de Marseille et publiée dans la revue iScience.

icône décorative Article complet

Déficit en antineutrinos des réacteurs : la physique nucléaire apporte des éléments de réponse

Vignette

Les modèles de physique ne parviennent pas à simuler la production d’antineutrinos des réacteurs nucléaires. Ce contretemps mis en lumière il y a huit ans a fait couler beaucoup d’encre. Il pourrait bien trouver une explication grâce à l’étude minutieuse de la décroissance radioactive des noyaux fils du combustible. Une démonstration menée par l’équipe de Muriel Fallot au laboratoire Subatech.

icône décorative Article complet

Anne Ealet, d’un infini à l’autre

Vignette

De l’étude de la physique des particules à celle de la cosmologie, il y a un monde qu’Anne Ealet n’a pas hésité à franchir. C’est en effet dans les grands défis que la chercheuse trace sa route guidée par son excellence et son enthousiasme. Portrait.

icône décorative Article complet

Institut national des sciences de l'Univers (INSU)

Une étude de la rémanence du Big Bang discrimine nombre de théories décrivant l’univers primordial

Vignette

L’inflation cosmologique, une époque d’expansion accélérée de l’univers primordial, fournit une explication naturelle à la présence de minuscules fluctuations d’énergie qui constituent les graines à partir desquelles se développent les grandes structures de l’univers. Une équipe d'astronomes explique que dans une grande classe de modèles inflationnaires motivés par la physique des hautes énergies, une instabilité induit une déviation importante au caractère gaussien de la statistique des fluctuations primordiales, excluant nombre de propositions théoriques récentes.

Des scientifiques ont-ils détecté un mouton dans l'espace ?

Vignette

Oumuamua, un gigantesque « mouton » de poussière ? Une étude menée par une équipe internationale de chercheurs a montré que le premier objet identifié provenant de l'extérieur du Système solaire, pourrait être formé d'une agrégation de micrograins. Ainsi, il pourrait être l'objet le plus poreux jamais observé dans notre système solaire qu’il traversa en octobre 2017.

Une activité volcanique intense a-t-elle entraîné un changement climatique majeur il y a 2,5 milliards d'années ?

Vignette

Des chercheurs ont montré qu'il y a 2,5 milliards d'années, les échanges de gaz entre la Terre et l'atmosphère provoqués par des phénomènes volcaniques étaient 10 à 100 fois supérieurs aux échanges actuels. Ces intenses émissions de gaz volcaniques requièrent un régime géodynamique différent de la tectonique des plaques, et ont pu déclencher des changements environnementaux extrêmes, tels que l'oxygénation de l'atmosphère

Directeur de la publication : Antoine Petit
Directrice de la rédaction : Brigitte Perucca
Responsable éditoriale : Priscilla Dacher
Secrétaire de rédaction : Fabienne Arpiarian
Comité éditorial : Christophe Cartier Dit Moulin, Sophie Félix, Stéphanie Younès (INC) ; Floriane Vidal, Elodie Vignier (INEE) ; Marine Charlet-Lambert, Pascale Roubin, Marie Signoret (INP) ; Pétronille Danchin, Emmanuel Royer (INSMI) ; Clémence Epitalon, Emmanuel Jullien, Perrine Royole-Degieux (IN2P3) ; Sarah Granet, Aurélie Meilhon, Pierre Netter, Conceicao Silva (INSB) ; Armelle Leclerc, Nacira Oualli (INSHS) ; Muriel Ilous, Chloé Rimailho (INSIS) ; Célia Esnoult, Laure Thiébault (INS2I) ; Dominique Armand, Nam Phan Van Song (INSU).