CNRS HEBDO

À l'affiche

Vignette illustrant cette actualité <>Semaine des mathématiques

La Semaine des mathématiques se déroule du 13 au 18 mars 2017 dans toute la France. Le thème de cette cinquième édition est "Mathématiques et langages".

À la une

Vignette illustrant cette actualité

Dominique Gillot, présidente du Conseil national de la culture scientifique, technique et industrielle (CNCSTI), a présenté ce jeudi 9 mars 2017 au Palais de la Découverte, la stratégie nationale de la CSTI à Audrey Azoulay ministre de la Culture et de la Communication et Thierry Mandon, secrétaire d’État en charge de l’Enseignement supérieur et de la Recherche. Co-construit avec les professionnels de terrain, le milieu académique et des experts reconnus, cette stratégie nationale propose différents axes de travail et des actions à mener sur tout le territoire français.

Vignette illustrant cette actualité

Abbelight, ACS Biotech, Biopic, Casis, Daumet, Genoskin, Grasp SAS et Inorevia pitcheront lors du Salon de l’enseignement supérieur et de la recherche, le 17 mars, devant des professionnels de la valorisation et du financement de l’innovation, avant de rencontrer en B2B des investisseurs susceptibles de les accompagner dans leurs démarches entrepreneuriales. L’une de ces start-up se verra décerner, par le Cabinet Plasseraud, le prix Coup de cœur du jury, d’une valeur de 5000 €.

  Vie institutionnelle haut de page

Vignette illustrant cette actualité

La campagne des concours internes ouvre du 22 mars au 14 avril 2017. Les dossiers de candidature seront téléchargeables pendant cette période. Des formations de préparation à la rédaction du dossier sont actuellement en cours, d’autres suivront pour la préparation à l’audition.

Vignette illustrant cette actualité

De nouveaux postes d'encadrement sont à pourvoir, notamment ceux de Responsable technique et logistique pour la Délégation régionale Côte d’Azur et Adjoint au Délégué régional Normandie.

  Europe et international haut de page

Vignette illustrant cette actualité

Du 5 au 7 avril 2017 à Barcelone, se déroulera la 9ème réunion plénière de la Research Data Alliance (RDA), une organisation internationale visant à faciliter le partage de données entre différentes technologies, disciplines et organismes. À cette occasion, l'initiative BRIF organisera le 5 avril 2017 une session de réflexion sur la valorisation du travail accompli dans la mise à disposition des données. Les chercheurs sont invités à participer à la session.

  Innovation et relations avec les entreprises haut de page

Vignette illustrant cette actualité

Issue du laboratoire Omega et du Laboratoire de l’accélérateur linéaire, la start-up Weeroc valorise auprès des industriels les circuits micro-électroniques développés au laboratoire.

Vignette illustrant cette actualité

Le programme NETVA propose à de jeunes start-up françaises, un programme d’accompagnement personnalisé, d’analyse d’opportunités et de développement de partenariats technologiques aux États-Unis et au Canada. Date limite de candidature : 31 mars 2017.

Vignette illustrant cette actualité

Le 14 mars 2017, 9 chercheurs du CNRS viendront présenter leurs projets entrepreneuriaux au NUMA à Paris, lors d'un événement co-organisé avec la start-up Startsquare. L'objectif de cette journée est de permettre aux scientifiques issus de la recherche publique de trouver des associés complémentaires et des opportunités pour développer leur projet.

  Vie scientifique haut de page

Vignette illustrant cette actualité

À l'occasion de l'exposition"Le Mystère Le Nain" au musée du Louvre-Lens, dont le CNRS est partenaire, les deux établissements s'associent pour mener un projet de recherche inédit. Pendant toute la durée de l'exposition (du 22 mars au 26 juin 2017), 600 visiteurs munis d'une tablette indiqueront ce qu'ils pensent pertinent de voir dans sept des œuvres exposées. Les tracés, enregistrés et traités grâce à l'application Ikonikat, permettront aux chercheurs de savoir si l'attention d'un visiteur se porte réellement sur les éléments jugés les plus dignes d'intérêt par les professionnels.
© Sarah Landel

  Appel à projets haut de page

Vignette illustrant cette actualité

Le CNRS et la National Research Foundation (NRF Korea) lancent un appel à projets pour promouvoir des coopérations entre des unités affiliées au CNRS et des laboratoires coréens dans tous les domaines de recherche. Date limite de dépôt des dossiers : 2 mai 2017.

Vignette illustrant cette actualité

Dans le cadre de l’European Joint Programme (EJP) pour l'intégration de la recherche sur la radioprotection (CONCERT), l'ANR lance un appel pour soutenir des projets innovants, multidisciplinaires et transnationaux dans le domaine de la radioprotection. Date limite de soumission des projets : 2 mai 2017.

Vignette illustrant cette actualité

Lancé par la Fondation pour la recherche médicale, le prix Victor et Erminia MESCLE est destiné à soutenir une équipe pour ses recherches précliniques sur les greffes d’organes ou de cellules. Date limite de dépôt des dossiers : 13 avril 2017.

Vignette illustrant cette actualité

Le stand Les Sciences sur la Place réitère sa présence au salon Le livre sur la Place qui se tiendra du 8 au 10 septembre 2017 à Nancy. Devenue un rendez-vous incontournable, cette manifestation est l’occasion pour les auteurs scientifiques et le grand public de se rencontrer et d’échanger. Date limite d'inscription : 28 avril 2017.

À l'affiche

Vignette illustrant cette actualité <>Les Toiles de la laïcité

Les toiles de la laïcité

Débattre de la notion juridique de la laïcité : un cycle de projections-débats organisé par le laboratoire Droit, religion, entreprise et société (DRES, CNRS/Unistra), avec le soutien de l'IdEx, dans le cadre des investissements d'avenir. Toutes les projections se déroulent au cinéma Star de Strasbourg, du 2 mars au 1er juin 2017 à 18h, et sont suivies d'un débat. L'entrée est libre.
Premier rendez-vous : jeudi 2 mars 2017 à 18h, avec la diffusion du film Enfin, la grande mosquée, de Afsaneh Chehrehgosha, en présence de Jean-Marie Woehrling, président de l'institut du droit local alsacien-mosellan.

Vignette illustrant cette actualité <>A votre santé ! Le mois de la santé et de la recherche en Alsace

A votre santé ! Le mois de la santé et de la recherche en Alsace

Du 1er au 31 mars 2017, cet événement, organisé par l'Inserm Grand-est et la Nef des sciences, propose une vingtaine de conférences, discussions, débats, séances cinéma, expositions !

Vignette illustrant cette actualité <>La Semaine du cerveau 2017

La Semaine du cerveau 2017

La 19e édition de cette manifestation grand public gratuite, coordonnée par la Société des neurosciences, se déroulera du 13 au 19 mars 2017. Au programme : ateliers, conférences, expositions, spectacles, projections de films, débats dans 25 villes, dont Strasbourg et Mulhouse.

En délégation Alsace

  À la une haut de page

Vignette illustrant cette actualité

Le Service régional de traitement d'image et de télédétection (SERTIT) exploite des données issues des moyens aéroportés et spaciaux d'observation de la Terre, pour les transformer en géoinformation exploitable par les systèmes d'aide à la décision. Opérateur régional, national et européen, il répond à des besoins sociétaux en offrant des solutions aux problématiques de la gestion des risques, de l’aménagement des territoires, de la gestion des ressources naturelles, de l’environnement, du développement durable.
A destination du grand public, cet événement, se déroulera jeudi 30 mars 2017, de 10h à 12h30, à Illkirch (pôle API, Bd Sébastien Brant). L'équipe du SERTIT vous invite à venir découvrir ses succès et ses ambitions à travers des expositions, des conférences et des démonstrations.
© SERTIT

  Actualités scientifiques haut de page

Vignette illustrant cette actualité

En analysant expérimentalement et théoriquement l'avancée d’une déchirure dans une feuille de papier, des physiciens de l'Institut de physique du globe de Strasbourg (IPGS, CNRS/Unistra) viennent pour la première fois d'effectuer un bilan d'énergie complet des phénomènes mis en jeu. Ils ont notamment déterminé la proportion de l'énergie mécanique de fracture transformée en chaleur, de l'ordre d'une douzaine de pour cent.

Vignette illustrant cette actualité

L'auxine est une phytohormone essentielle qui régule de multiples aspects de la croissance et du développement des plantes. Si elle exerce un contrôle au niveau transcriptionnel, l'auxine est également impliquée dans la régulation de la traduction. Des chercheurs de l'Institut de biologie moléculaire des plantes (IBMP, CNRS) ont décrypté les mécanismes moléculaires de cette régulation en mettant à jour le chaînon manquant de la voie de signalisation impliquée : la petite GTPase ROP2, activée par l'auxine, contrôle l'action de la kinase TOR, un régulateur incontournable de la traduction. Ce travail a été publié le 28 février 2017 dans la revue The EMBO Journal.
© L.Ryabova

Vignette illustrant cette actualité

L'évolution de deux biopolymères essentiels, la lignine et la cutine, a été nécessaire à la transition des plantes du milieu aquatique au milieu terrestre. En recherchant chez une mousse l'origine évolutive de la lignine, une équipe de l'Institut de biologie moléculaire des plantes (IBMP, CNRS), en collaboration avec des chercheurs de l'Université de Freiburg (Allemagne), révèle une étape commune à l'évolution de ces deux biopolymères chez les plantes terrestres. Cette étude a été publiée le 8 mars 2017 dans la revue Nature Communications.
© H.Renault

Vignette illustrant cette actualité

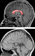
Des équipes de l'Institut de génétique et de biologie moléculaire et cellulaire (IGBMC, CNRS/Inserm/Unistra), entre autres, viennent d'identifier le premier gène à l'origine d'un défaut de développement du corps calleux : la principale structure cérébrale responsable de la communication entre les deux hémisphères du cerveau.
© Ch.Depienne

  Vie des laboratoires haut de page

Vignette illustrant cette actualité

Colloque organisé par le laboratoire Droit, religion, entreprise et société (DRES, CNRS/Unistra), mercredi 22 et jeudi 23 mars 2017, au Palais universitaire de Strasbourg (9 place de l'Université, salle Pasteur). Inscription obligatoire.

Vignette illustrant cette actualité

Table ronde internationale organisée, entre autres, par les laboratoires Sociétés, acteurs, gouvernement en Europe (Sage, CNRS/Unistra) et Dynamiques européennes (Dyname, CNRS/Unistra), lundi 27 mars 2017, de 8h à 18h, à la Maison interuniversitaire des sciences de l'Homme Alsace (Misha, 5 allée du général Rouvillois, salle des conférences, Strasbourg).

Vignette illustrant cette actualité

Le Comité ECOS Nord, instrument du ministère des Affaires étrangères et du ministère de l'Enseignement supérieur et de la recherche, lance son 24e appel à projets avec le Mexique. Date limite de dépôt des dossiers : vendredi 12 mai 2017.

  À découvrir haut de page

La 13e édition de ce cycle de projections-rencontres se déroulera du mercredi 8 mars au lundi 10 avril 2017, à Strasbourg et est organisée, entre autres, par le laboratoire Sociétés, acteurs, gouvernement en Europe (Sage, CNRS/Unistra) et le laboratoire Image, ville, environnement (Live, CNRS/Unistra).
Prochain rendez-vous : Ville fantôme après évacuation, avec la diffusion de La Soufrière de Werner Herzog, en présence d'Eliane Propeck, maître de conférences au laboratoire Live, jeudi 9 mars 2017 à 19h, à la Maison de l'image (31 rue Kageneck, Strasbourg).

Vignette illustrant cette actualité

Dans le cadre du Mois de la santé, un webcast scientifique proposé par la Nef des sciences à destination des lycéens et collégiens, avec David Hicks, directeur de recherche Inserm à l'Institut des neurosciences cellulaires et intégratices (INCI, CNRS), mardi 14 mars 2017, de 14h à 15h. Inscription obligatoire.

Vignette illustrant cette actualité

Samedi 18 mars 2017, l'Observatoire hydro-géochimique de l'environnement participe à cet événement, à Aubure (Haut-Rhin), de 9h30 à 12h et de 14h à 16h30. Participation gratuite. L'OHGE a été labellisé en 1997 par l'Ecole et observatoire des sciences de la Terre (EOST, CNRS/Unistra), et en 2007 par l'Institut national des sciences de l'Univers du CNRS (INSU) comme service national d'observation.

CNRS Hebdo Alsace

Gestion de votre abonnement : https://www.cnrs.fr/actualite-du-cnrs/alsace/Abonnement.aspx
Vos remarques sur le contenu éditorial : cnrs-hebdo@alsace.cnrs.fr
Vos remarques sur le fonctionnement technique : support-CNRSHebdo@dr14.cnrs.fr

© CNRS
Directeur de la publication : Alain Fuchs
Directrice de la rédaction : Brigitte Perucca
Responsable éditorial national : Fabrice Impériali
Coordination et rédaction : Marie-Edith Dorsinville, Claire Debôves
Responsable éditorial régional : Patrice Soullie
Rédactrice en chef régionale : Céline Delalex-Bindner
Correspondant technique : Roland Dirlewanger

Mentions Légales - Cookies - Données personnelles