CNRS HEBDO

À la une

Vignette illustrant cette actualité

Le CNRS ouvre son onzième bureau dans le monde, à Nairobi au Kenya. Cette décision s’inscrit dans le cadre du plan pluriannuel de coopérations de l’institution avec l’Afrique, dont nous parle Antoine Petit, président-directeur général du CNRS.

  Vie institutionnelle haut de page

Vignette illustrant cette actualité

A l’occasion de la Journée internationale des droits des femmes le 8 mars, venez découvrir le nouveau plan égalité du CNRS 2024-2026 et échanger avec les acteurs et actrices de l’égalité. Elles et ils vous présenteront une grande variété d’actions qui pourront être reprises dans vos laboratoires, instituts, délégations régionales et établissements partenaires. 

Vignette illustrant cette actualité

Alain Mermet est le nouveau directeur de la direction Europe et international (DEI) du CNRS depuis le 1er février 2024.

Vignette illustrant cette actualité

Fin janvier, plus de 160 personnes se sont réunies au siège du CNRS à Paris. L’objectif pour ces nouveaux directeurs et directeurs adjoints d’unités était de mieux appréhender leurs nouvelles missions. Ces journées étaient organisées par la direction déléguée aux cadres supérieurs en partenariat avec France Université, en lien étroit avec les instituts et les délégations régionales du CNRS. 

  Europe et international haut de page

Vignette illustrant cette actualité

Première filiale internationale du CNRS à Singapour, CNRS@create présentera ses projets et notamment le programme DesCartes (Hybrid AI digital twins for intelligent modeling and decision making) le mercredi 13 mars au siège du CNRS. Cette journée montrera les initiatives de recherche en cours et les nombreuses opportunités de collaboration que CREATE offre au CNRS et à ses partenaires en France.

Programme et inscription (date limite : 1er mars).

Vignette illustrant cette actualité

La Maison française d'Oxford (MFO) se dote d’une fondation, sous égide de la Fondation CNRS. Elle organisait le 20 février à Oxford une cérémonie de lancement en présence du président-directeur général de l’organisme français, et président de la Fondation CNRS, Antoine Petit.

  Innovation et relations avec les entreprises haut de page

Vignette illustrant cette actualité

En 2023, le CNRS a lancé un premier appel à manifestation d’intérêt dans le cadre de son nouveau programme de valorisation des logiciels libres, baptisé « OPEN », opéré par CNRS Innovation.

Vignette illustrant cette actualité

Après des années d’étroite collaboration, la scale-up Abbelight et l’Institut des sciences moléculaires d’Orsay (ISMO) ont officialisé leur union via la création d’un laboratoire commun : Nanolife. Une nouvelle étape vers le développement de solutions de nanoscopie à fluorescence pour l’étude de cellules vivantes.

  Vie scientifique haut de page

Vignette illustrant cette actualité

​Le bureau du CNRS à Bruxelles est heureux de vous inviter à son événement « Data & sovereignty ; Science as data "trusted producer" and related products for market uptake », qui se tiendra le mercredi 6 mars à la Maison Irène et Fréderic Joliot Curie à Bruxelles.

Vignette illustrant cette actualité

Découvrez au siège du CNRS à Paris les 9 et 10 avril les recherches innovantes des doctorants du groupement de recherche (GDR) OMER « Océan & Mers ». Explorez les avancées des groupes de travail « Théories en écologie et évolution appliquées au marin » et « Gouvernance océanique et maritime » (date limite d'inscription : 1er avril)..

Vignette illustrant cette actualité

À travers l'exposition « Sur les traces de Fukushima » présentée à la Maison de la culture du Japon à Paris jusqu’au 9 mars, la chercheuse Cécile Asanuma-Brice plonge le visiteur dans les profondeurs de l'après-accident nucléaire. A l’origine de l’exposition, le programme de recherche international Mitate lab. Post-Fukushima Studies examine les conséquences socio-environnementales de cette catastrophe sans précédent.

Vignette illustrant cette actualité

Le développement de l’IA et les progrès des composants font basculer le monde des supercalculateurs vers les processeurs graphiques, aussi appelés GPU. Un nouvel investissement apporte de quoi adapter l’imposante machine de GENCI, opérée par le CNRS, le supercalculateur Jean Zay, aux besoins à venir de la recherche et de l’innovation.

Vignette illustrant cette actualité

​La démonstration du changement climatique en cours, de son ampleur et de sa rapidité sans précédent, n’est pas le moindre des succès de la science « paléoclimats et paléoenvironnements ». L’INSU a souhaité faire le point sur l'état de cette discipline et identifier ses tendances et enjeux.

  Appel à projets haut de page

Vignette illustrant cette actualité

Le Programme et équipements prioritaires de recherche (PEPR) « Soutenir l'innovation pour développer de nouveaux procédés industriels largement décarbonés » (SPLEEN) lance un appel à projet afin de mener des recherches amont destinées à soutenir le développement de filières technologiques nationales ou européennes, présentant un fort potentiel pour contribuer à la décarbonation de l’industrie d’ici 10 à 15 ans (date limite : 14 mars).

Vignette illustrant cette actualité

L’Agence nationale de sécurité sanitaire de l'alimentation, de l'environnement et du travail (ANSES) lance un appel à candidatures d'experts scientifiques dans les différents domaines des risques sanitaires liés à l'environnement et au travail. Il s'agit de renouveler 6 Comités d'experts spécialisés (CES) de l'Agence, de constituer plusieurs groupes de travail (GT) ainsi qu'une liste d'experts mobilisables pour des travaux ad hoc.

En savoir plus (date limite : 15 mars).

  À découvrir haut de page

Vignette illustrant cette actualité

Les 17 et 18 février, les Échappées inattendues du CNRS se sont installées au musée des Arts et Métiers pour explorer plus intensément l’océan. L’occasion pour le public de découvrir le temps d’un week-end des micro-conférences, des conférences démo et un débat grand format pour une plongée inspirante dans la recherche scientifique océanographique.

Vignette illustrant cette actualité

Découvrez le palmarès du concours La preuve par l’image 2023, dédié aux images issues de la recherche et ce dans tous les domaines, et les vingt lauréats choisis par le jury composé de professionnels de l’image et de scientifiques.

Vignette illustrant cette actualité

Vivant, fossiles et numérique… A votre avis, qu’est ce qui relie ces trois thématiques ? La mémoire bien sûr ! Venez explorer à travers des approches multidisciplinaires les différents mondes qui se cachent derrière elle… Trois courtes interventions sont à (re)voir. Retrouvez tous les 15 jours un nouveau replay, et d’ores et déjà ceux disponibles dans cette playlist.

En délégation Alsace

  Actualités scientifiques haut de page

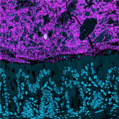
Vignette illustrant cette actualité

Chez les espèces sauvages, la saison à laquelle a lieu la gestation influence la croissance métabolique et reproductive de la descendance. Dans cette étude, publiée dans Current Biology, les scientifiques de l'Institut des neurosciences cellulaires et intégratives (INCI | CNRS) ont montré que chez le hamster sibérien le système endocrine maternel programme la maturation des tanycytes, des cellules gliales localisées à la base de l’hypothalamus, différemment selon que la gestation des petits ait lieu en photopériode estivale ou hivernale.
© Paul Klosen

Vignette illustrant cette actualité

Le microbiote intestinal offre une barrière naturelle contre les bactéries pathogènes. Dans une étude publiée dans la revue Science les scientifiques du laboratoire Biotechnologie et signalisation cellulaire (BSC | CNRS Unistra) démontrent que le mécanisme de cette résistance implique principalement le blocage par un ensemble d’espèces présentes dans la microbiote des nutriments nécessaires aux bactéries pathogènes.
© Martin T. Jahn

Vignette illustrant cette actualité

Les plaques amyloïdes, associées à de nombreuses pathologies cérébrales comme la maladie d’Alzheimer, se forment suite à l’agrégation en fibres de peptides ou protéines courtes.  Pouvant atteindre plusieurs microns, ces agrégats délétères sont très stables et difficile à éradiquer. Dans un article paru dans la revue Advanced Materials, des chimistes de l’Institut Charles Sadron (ICS | CNRS) montrent que ces agrégats peuvent être détruits par des moteurs moléculaires.
© Nicolas Giuseppone

Vignette illustrant cette actualité

La zone critique est la partie la plus superficielle de notre planète où l’eau, les roches, l’air et la vie se rencontrent pour façonner notre environnement. Afin de mieux comprendre comment les différences régionales de structure et d’évolution de la zone critique modulent le cycle de l’eau, des scientifiques de 12 laboratoires Français, dans lesquels le CNRS Terre & Univers est impliqué, dont l'Institut Terre et environnement de Strasbourg (ITES | CNRS ENGEES Unistra), ont coopéré pour mener une étude comparative dans trois observatoires de l’IR OZCAR (AgrHyS, bassin versant du Naizin, en Bretagne; Auradé, bassin versant du Montoussé, dans le Gers; OHGE, bassin versant du Strengbach, en Alsace).
© Pascal Varambon/LHYGES/IGPS/OHGE/CNRS Images

Vignette illustrant cette actualité

Dans un article publié dans la revue RNA, les scientifiques du laboratoire Architecture et réactivité de l'ARN (ARN | CNRS) révèlent l’existence d’une nouvelle enzyme. Cette protéine, qui modifie un ARN ribosomique localisé dans une des zones essentielles à la synthèse des protéines, est requise pour la virulence de Staphyloccocus aureus, plus connu sous le nom de staphylocoque doré, un pathogène majeur de l’Homme.
© CNRS Images

  Vie des laboratoires haut de page

Vignette illustrant cette actualité

Tu es en 2e ou 3e année de doctorat ? Tu es inscrit(e) dans une université alsacienne ? Tu rêves que tes découvertes aboutissent et servent la société ? Tu es séduit(e) par le monde de l’entreprise et des start-ups ? Booste ton avenir grâce à ta thèse, participe au Challenge Mature your PhD !
Date limite de candidature : mardi 30 avril 2024.

  À découvrir haut de page

Vignette illustrant cette actualité

Une conférence-débat d'Abdelilah Slaoui, directeur adjoint scientifique et responsable de la cellule Energie au CNRS, mardi 5 mars 2024, de 19h à 20h, à Erstein (Maison de la musique Place du Château de la Rebmatt). Entrée libre.
Face au changement climatique, il est urgent de trouver une alternative durable à nos énergies fossiles. Dans cette quête, l’hydrogène fait figure de sérieux concurrent, surtout dans le domaine de la mobilité lourde. Plongez dans les coulisses de la course à l’hydrogène, un gaz qui pourrait demain trouver sa place dans un réseau de transport décarboné et venez échanger avec un scientifique du domaine.
© Jean-Claude Moschetti / ISCR / CNRS Images

Dates limites haut de page

Les actualités qui suivent sont celles dont la date limite est proche.
Pour consulter la liste complète des actualités avec dates limites, cliquez ici.

CNRS Hebdo Alsace

Gestion de votre abonnement : https://www.cnrs.fr/actualite-du-cnrs/alsace/Abonnement.aspx
Vos remarques sur le contenu éditorial : cnrs-hebdo@alsace.cnrs.fr
Vos remarques sur le fonctionnement technique : support-CNRSHebdo@dr14.cnrs.fr

© CNRS
Direction de la publication : Antoine Petit
Direction de la rédaction : Jérôme Guilbert
Responsable éditoriale périmètre national : Sofia Nadir
Coordination et rédaction : Aline Vareille-Ouillon
Responsable éditorial périmètre régional : Géraud Delorme
Coordination et rédaction régionale : Céline Delalex-Bindner
Réalisation technique : Frédéric Druilhet
Création graphique et intégration : Eric Furlan

Mentions Légales - Cookies - Données personnelles