CNRS HEBDO

À l'affiche

Vignette illustrant cette actualité <>Zeste de science épisode 2 : "Une petite mousse ?"

Dédié au secret du non débordement de la bière, l’épisode "Une petite mousse ?" est en ligne sur Zeste de science, la nouvelle chaîne YouTube du CNRS.

À la une

Vignette illustrant cette actualité

Présidente du CNRS, Anne Peyroche fait le point sur l'appel à projets Momentum et sur l'initiative "Make our planet great again", deux programmes qui rencontrent un grand succès auprès des scientifiques.

  Vie institutionnelle haut de page

Vignette illustrant cette actualité

Les tentatives de fraude auprès des organismes publics se multiplient et plusieurs établissements publics nationaux ont été récemment escroqués pour des montants financiers importants. Le CNRS n’est pas épargné lui non plus.
©Mikael Damkier/Fotolia

Vignette illustrant cette actualité

En 2018, le CNRS ouvre près de 300 postes de chercheurs dans toutes les disciplines scientifiques. Inscriptions en ligne sur le site concours chercheurs à compter du 4 décembre 2017. Date limite : 8 janvier 2018.

  Europe et international haut de page

Vignette illustrant cette actualité

Avec 20 lauréats, le CNRS arrive en tête des résultats de l'appel "ERC Consolidator Grant 2017" qui récompense des chercheurs d'excellence ayant entre sept à douze ans d’expérience après l’obtention de leur thèse. Au total, 329 projets ont été sélectionnés, parmi lesquels 38 projets hébergés par la France.

Vignette illustrant cette actualité

Le CNRS, l'université de Bordeaux, l'ENS Paris-Saclay, et leurs partenaires indiens du Chennai Mathematical Institute et du Institute of Mathematical Sciences viennent de créer Relax, une unité mixte internationale en informatique.
©CMI

  Innovation et relations avec les entreprises haut de page

Vignette illustrant cette actualité

La start-up MElkin-Pharmaceuticals développe des peptides synthétiques issus des travaux de recherche menés au laboratoire Neuroscience Paris-Seine au sein de l’Institut Biologie Paris Seine.

Vignette illustrant cette actualité

Comment de petits mammifères arboricoles saisissent les branches pour se déplacer ? Pour le savoir, une doctorante du Centre de recherche sur la paléobiodiversité et les paléoenvironnements a mis au point un capteur de force aux possibles autres applications en biomécanique et en robotique.

Vignette illustrant cette actualité

La start-up Tiamat, créée pour concevoir des batteries ions sodium dans un format industriel standard, pourrait pallier certaines limites des batteries lithium-ion, comme la vitesse de recharge, la durée de vie ou le coût de production et permettre le stockage massif d'énergies renouvelables dites intermittentes ou équiper des véhicules électriques.
© Beaujot/RS2E

  Vie scientifique haut de page

Vignette illustrant cette actualité

Cette conférence, qui se tiendra du 11 au 14 décembre 2017 à Belfort, vise à accompagner le développement technologique et scientifique d’une mobilité plus respectueuse de l’environnement.

Vignette illustrant cette actualité

La conférence internationale sur la mesure électromagnétique de haute précision, organisée conjointement par le Laboratoire national de métrologie et d'essais, l’Observatoire de Paris et le CNRS, se tiendra du 8 au 13 juillet 2018, à la Maison de la chimie à Paris.

  Appel à projets haut de page

Vignette illustrant cette actualité

L’Académie des sciences invite de jeunes chercheurs, ayant contribué aux grandes avancées scientifiques françaises en biologie, à présenter leurs résultats en séance publique, le 5 juin 2018 à Paris. Date limite de candidature : 13 février 2018.

Vignette illustrant cette actualité

Le laboratoire CSL Behring, spécialiste des biothérapies dédiées à la prise en charge des patients atteints de maladies rares, lance un appel à projets de recherche en immunologie et en hémostase. Date limite de candidature : 31 janvier 2018.

Vignette illustrant cette actualité

Cet appel d'offre du Fonds européen pour les affaires maritimes et la pêche comprend quatre volets dédiés à l'économie bleue durable. Date limite de candidature : 8 et 28 février 2018.

Vignette illustrant cette actualité

La  Fondation pour la recherche médicale  lance  un  appel  à  projets  pour  soutenir les recherches interdisciplinaires dans le domaine de la santé. Date limite de la lettre d'intention : 8 janvier 2018.

  À découvrir haut de page

Vignette illustrant cette actualité

Conçue en partenariat avec le CNRS, l’exposition dédiée au froid et à ses nombreuses applications se tiendra, du 5 décembre 2017 au 26 août 2018, à la Cité des sciences et de l’industrie.
©Laura Bonnefous

Vignette illustrant cette actualité
Vignette illustrant cette actualité

Les dernières actualités de l’Institut des sciences humaines et sociales du CNRS sont publiées dans sa lettre d’information de novembre 2017.

En délégation Occitanie Ouest

  À la une haut de page

Vignette illustrant cette actualité

Les actes et préconisations issues du séminaire régional Egalité professionnelle ont été le 24 novembre 2017. Vous pouvez dès à présent consulter et partager le recueil des actes et préconisations du séminaire ainsi que le support de présentation dans la rubrique dédié à l’égalité professionnelle de « l’Espace laboratoires »

Vignette illustrant cette actualité

Quels sont les principes qui guideront la construction de la future Université de Toulouse ?

  Actualités de la délégation haut de page

Vignette illustrant cette actualité

Un des objectifs du plan d’action pour l’égalité professionnelle femmes/hommes au CNRS est de soutenir les agent.e.s pour qui les déplacements professionnels entraînent des frais de garde d’enfants ou d’aide aux parents dépendants. Afin de favoriser l’équilibre vie personnelle - vie professionnelle, un dispositif de chèques préfinancés à 100% (CESU) permettant de couvrir ces frais est proposé aux agent.e.s.
Date limite de retrait : 18 décembre 2017

Vignette illustrant cette actualité

Une réunion d’information destinée aux personnels de l’Observatoire Midi-Pyrénées (OMP) aura lieu lundi 11 décembre 2017 à 11h en salle Coriolis (à l’OMP) concernant les projets d’infrastructure du CNRS sur le campus Belin et à proximité.

Vignette illustrant cette actualité

La campagne de mobilité interne est ouverte jusqu'au 11 janvier 2018.
Le service des ressources humaines de la délégation est à votre disposition pour vous accompagner tout au long de votre démarche de mobilité.

  Actualités scientifiques haut de page

Vignette illustrant cette actualité

Les astronomes utilisant l'instrument MUSE sur le Very Large Telescope (VLT) de l'ESO au Chili ont mesuré les distances et les propriétés de 1600 galaxies dont 72 nouvelles qui n’avaient jamais été détectées. Ce jeu de données révolutionnaire a donné lieu à dix articles scientifiques publiés dans un numéro spécial d'Astronomy & Astrophysics le 29 novembre 2017. La richesse exceptionnelle des informations fournies par MUSE donne aux astronomes un aperçu de la formation des étoiles dans l'Univers primordial. Ces résultats permettront aussi d'étudier les mouvements et autres propriétés des galaxies primordiales.
Ces travaux impliquent en France des chercheur.e.s de l’Institut de recherche en astrophysique et planétologie (IRAP)

Vignette illustrant cette actualité

Le Centre interuniversitaire de recherche et d’ingénierie des matériaux de Toulouse (CIRIMAT) et le groupe Safran signeront le 6 décembre 2017 un accord de coopération scientifique qui vise à intensifier les efforts de recherche pour nourrir l’innovation et répondre aux grands défis industriels de demain. S’appuyant sur l’accord-cadre Safran-CNRS, cette nouvelle étape renforcera ainsi le lien historique entre les deux partenaires.

Vignette illustrant cette actualité

Les mécanismes qui gouvernent les déplacements collectifs de bancs de poissons, de nuées d’oiseaux ou de troupeaux de mammifères restent encore mystérieux. Des chercheur.e.s toulousain.e.s du Centre de recherches sur la cognition animale (CRCA) et du Laboratoire de physique théorique (LPT) ont étudié comment des poissons s’influencent mutuellement lorsqu’ils effectuent collectivement des changements spontanés de direction. Ces résultats montrent que pour coordonner leurs déplacements les poissons interagissent avec un petit nombre de leurs voisins et changent régulièrement les individus sur lesquels ils portent leur attention.

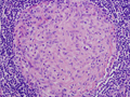
Vignette illustrant cette actualité

La contribution des lymphocytes B, acteurs essentiels de l’immunité anti-infectieuse en général, reste paradoxalement très peu explorée dans la tuberculose. Une collaboration internationale, menée par Olivier Neyrolles et Denis Hudrisier de l’Institut de pharmacologie et de biologie structurale (IPBS), révèle que ces cellules, au-delà de leur capacité bien connue à produire des anticorps, participent également à la réponse immunitaire dans la tuberculose en produisant des molécules solubles, les interférons de type I, et contribuent par ce biais à une réduction de la réponse inflammatoire. Cette découverte inattendue porte un éclairage nouveau sur l’immunité antituberculeuse en impliquant des acteurs cellulaires peu étudiés dans cette pathologie.

Vignette illustrant cette actualité

L’équipe STORM (Structural Models and Tools in Computer Graphics) de l’Institut de recherche en informatique de Toulouse (IRIT), en collaboration avec l’Université de Victoria (Canada) et le Centre national de recherche italien, présentera à la conférence SIGGRAPH Asia 2017 une nouvelle méthode pour mieux gérer les jonctions entre plusieurs parties animées d’une forme géométrique 3D.

Vignette illustrant cette actualité

A partir d’une étude menée dans l’ancienne cité biblique de Tel Dan au nord d’Israël, des chercheur.e.s du Laboratoire écologie fonctionnelle et environnement de Toulouse (EcoLab) viennent de démontrer le mécanisme complexe par lequel le site, devenu périodiquement insalubre malgré la stabilité de la ressource en eau assurée depuis des millénaires par les sources du Jourdain, est alors abandonné par ses habitants. Cette connaissance pourrait permettre d’améliorer la gestion de la ressource en eau dans cette région pour préserver la santé globale.

Vignette illustrant cette actualité

Une nouvelle étude internationale menée notamment par des chercheur.e.s de la Station d’écologie expérimentale de Moulis (SETE) montre que la notion de limite planétaire pour la biodiversité et les tentatives récentes pour la chiffrer sont vagues et encouragent des politiques préjudiciables. L’étude suggère une alternative fondée sur les connaissances croissantes concernant les liens entre la biodiversité et le fonctionnement et la stabilité des écosystèmes.

  Vie des laboratoires haut de page

Vignette illustrant cette actualité

Sophie Bretesche, enseignante-chercheuse au Laboratoire d'économie et de management de Nantes Atlantique (LEMNA) portera lors de ce Grand séminaire du 12 décembre 2017 un regard sociologique sur les mines d'uranium françaises. Ce séminaire sera suivi par une soirée scientifique à la salle du Sénéchal.

Vignette illustrant cette actualité

Dans le cadre des LAAS Research & Technology Conferences, Didier Dubois et Henri Prade de l’Institut de Recherche en Informatique de Toulouse (IRIT) animeront la prochaine conférence intitluée "La théorie des possibilités: le chaînon manquant entre logique et probabilités ?" qui aura lieu le 14 décembre 2017, salle de conférences du LAAS-CNRS.

Vignette illustrant cette actualité

Après avoir gagné le prix SAMPE France en mars 2017, Saber Chelaghma, doctorant co-encadré par l'Institut Clément Ader (ICA), l'IRT Saintt Exupéry et AIRBUS, vient de remporter le prix SAMPE Europe à Stuttgart.

  À découvrir haut de page

Vignette illustrant cette actualité

Dans ce dernier numéro des Carnets de science, retrouvez entre autres un diaporama autour du deuxième vol du projet Pilot réalisé au printemps 2017 en Australie, avec la participation de chercheur.e.s de l’Institut de recherche en astrophysique et planétologie de Toulouse (IRAP). Dans un autre article, Xavier Marie du Laboratoire de physique et chimie des nano-objets (LPCNO) nous parle des DMT, ces nouveaux matériaux de l’électronique de demain.

Vignette illustrant cette actualité

La prochaine soirée InCOGnu aura lieu le mercredi 6 décembre 2017 à 19h au Salmanazar de Toulouse. Mehdi Senoussi, docteur en neurosciences cognitives, proposera un regard critique sur les liens entre l'activité du cerveau et les pensées. L'association InCOGnu est labellisée club CNRS Jeunes Sciences & Citoyens.

Vignette illustrant cette actualité

En Midi-Pyrénées cette année, le CNRS a distingué 9 lauréat.e.s, 4 chercheur.e.s et 5 ingénieur.e.s, en leur décernant la médaille d’argent, de bronze et de cristal. La cérémonie de remise des médailles a eu lieu le 28 novembre aux Espaces Vanel de Toulouse. Retour en images sur cette belle soirée.

Dates limites haut de page

Les actualités qui suivent sont celles dont la date limite est proche.
Pour consulter la liste complète des actualités avec dates limites, cliquez ici.

CNRS Hebdo Occitanie Ouest

Gestion de votre abonnement : https://www.cnrs.fr/actualite-du-cnrs/occitanie-ouest/Abonnement.aspx
Vos remarques sur le contenu éditorial : Cnrs-Hebdo@dr14.cnrs.fr
Vos remarques sur le fonctionnement technique : support-CNRSHebdo@dr14.cnrs.fr

© CNRS
Directrice de la publication : Anne Peyroche
Directrice de la rédaction : Brigitte Perucca
Responsable éditoriale nationale : Karine Wecker-Blanda
Coordination et rédaction nationale : Marie-Edith Dorsinville et Claire Debôves
Responsable éditorial régional : Christophe Giraud
Rédactrice-en-chef régional : Catherine Dematteis

Cnrs-Hebdo@dr14.cnrs.fr

Mentions Légales - Cookies - Données personnelles