CNRS HEBDO

À l'affiche

Vignette illustrant cette actualité <>Podcasts du CNRS

Immergez-vous dans la recherche scientifique sur le terrain ou dans les laboratoires avec les podcasts du CNRS à écouter sans modération sur Soundcloud.

À la une

Vignette illustrant cette actualité

Chères et chers collègues,

Au terme de cette première semaine de confinement, je veux m'adresser à chacun et chacune d’entre vous.

Grâce à votre implication et votre dévouement, nous avons pu dans les laboratoires, les délégations régionales, les directions fonctionnelles et les instituts mettre en oeuvre rapidement le télétravail et les plans de continuité d’activités (PCA) et permettre aussi la poursuite des activités hors PCA nécessitant une présence physique, notamment pour les recherches sur l’épidémie COVID-19 ou les épidémies comparables.

 

Lire l'intégralité du message d'Antoine Petit sur l'intranet, sur cnrs.fr.

  Coronavirus COVID-19 haut de page

Vignette illustrant cette actualité

L’intranet du CNRS met à la disposition de tous les personnels qui travaillent dans une unité dont le CNRS est tutelle, quel que soit leur employeur, des informations actualisées liées au coronavirus.

Vignette illustrant cette actualité

Tous les personnels, qui le peuvent, sont invités à télétravailler. Les personnes dont la présence sur leur lieu de travail est indispensable doivent se munir de l'attestation de déplacement dérogatoire.

Vignette illustrant cette actualité

Il est recommandé de recourir aux audioconférences, afin de ne pas saturer les ressources en visioconférence, de privilégier le téléphone au mail et de n'envoyer qu'aux destinataires indispensables.

Vignette illustrant cette actualité

Tous les événements, colloques et séminaires sont reportés sine die. 

Vignette illustrant cette actualité

En raison du passage en stade 3 de la pandémie, toutes les missions sont suspendues en France, en Europe et hors Europe. Retrouvez tous les conseils aux voyageurs sur le site du MEAE

Vignette illustrant cette actualité

En application des instructions données ce samedi 14 mars par le Premier ministre, le CNRS a décidé de reporter tous les concours chercheurs, jusqu'à nouvelle instruction. Pour toutes les questions relatives aux concours, contactez le Service Central des Concours à l'adresse : concours@cnrs.fr

Vignette illustrant cette actualité

Le CNRS met en ligne en accès libre tous les numéros des Carnets de science, sa revue d’information scientifique destinée au grand public. En cette période de pandémie coronavirus COVID-19, le CNRS propose un autre regard sur la science pour inciter collectivement à porter plus d’attention à la parole des chercheuses et des chercheurs. 

Vignette illustrant cette actualité

Le CNRS se mobilise pour vous donner des informations scientifiques fiables sur la pandémie des coronavirus COVID-19.

Vignette illustrant cette actualité

Suite à l’épidémie COVID-19, l'Agence nationale de la recherche (ANR) et la Commission européenne reportent des dates de clôture de plusieurs appels à projets notamment du programme Horizon 2020 ou encore l’appel à projets générique, pour permettre aux scientifiques de déposer leurs propositions dans les temps nécessaires.

  Vie institutionnelle haut de page

Vignette illustrant cette actualité

L’éthique, la déontologie ainsi que l’intégrité scientifique sont au cœur des valeurs de l'établissement et ces questions sont confiées au CNRS au référent déontologue, référent lancement d’alerte, référent intégrité scientifique, à la médiatrice et au comité d’éthique du CNRS. Découvrez toutes les informations sur la nouvelle page du site web du CNRS.

Vignette illustrant cette actualité

Nouveaux entrants au CNRS en 2020, découvrez la plaquette de présentation de l’établissement sur le site cnrs.fr et sur l'intranet.

  Europe et international haut de page

Vignette illustrant cette actualité

La Direction Europe de la recherche et coopération internationale (DERCI) offre une gamme d’outils de collaboration à l’international et des financements complémentaires proposés par les instituts aux chercheurs français et étrangers pour organiser leur collaboration.

  Innovation et relations avec les entreprises haut de page

Vignette illustrant cette actualité

Le Laboratoire d'acoustique de l'Université du Mans et le Laboratoire d'analyse vibratoire et acoustique de Polytechnique Montréal, en collaboration avec Safran Aircraft Engines, développent des matériaux absorbants acoustiques qui présentent un gradient optimisé de porosité.

Vignette illustrant cette actualité

Les résultats de l’appel de EIC Accelerator d’octobre 2019 ont été diffusés en décembre. Soixante-quinze petites entreprises (issues de quinze pays différents) ont été sélectionnées, pour un montant total de 278 millions d’euros.

Vignette illustrant cette actualité

Près de 170 laboratoires liés au NRS sont impliqués dans 27 des 39 Instituts Carnot labellisés.

  Vie scientifique haut de page

Vignette illustrant cette actualité

L’Académie des sciences a annoncé, ce jeudi 19 mars, l’élection de quatre nouveaux académiciens dont trois sont issus du CNRS : Isabelle Chuine, directrice de recherche au Centre d’écologie fonctionnelle et évolutive ; Nicolas Moës, professeur à l’École centrale de Nantes ; Francis Bach, chercheur INRIA au département d’informatique de l’École normale supérieure et Nathalie Palanque-Delabrouille, directrice de recherche à l’Institut de recherche sur les lois fondamentales de l’univers.

Vignette illustrant cette actualité

Dans le cadre du projet d’infrastructure européenne OPERAS, coordonné par OpenEdition et Huma-Num, une enquête a été lancée auprès des chercheurs et chercheuses en sciences humaines et sociales sur les pratiques et problématiques actuelles en matière de communication savante.

Vignette illustrant cette actualité

Comme chaque année le CNRS fait une déclaration unique auprès de l’ANSES, des activités de fabrication, distribution ou d’importation des nanomatériaux effectuées dans ses locaux. Les unités concernées doivent adresser leur inventaire au chargé de mission avant le 27 avril 2020.

  Appel à projets haut de page

Vignette illustrant cette actualité

L'Académie des sciences décernera, cette année, ce grand prix d'un montant de 20 000 euros dans les domaines de la schizophrénie et des dépressions sévères.
Date limite de candidature le 26 mai 2020.

Vignette illustrant cette actualité

Ce programme permet de développer les échanges scientifiques et technologiques entre des laboratoires français et sud-africains, en favorisant de nouvelles coopérations et la participation de jeunes chercheurs et doctorants.
Date limite de candidature le 30 mars 2020.

Vignette illustrant cette actualité

Le Partenariat Hubert Curien (PHC) Imhotep est un programme franco-égyptien de soutien à la mobilité des chercheurs, qui développe des projets de recherche bilatéraux avec des chercheurs des deux pays et participe à la formation à la recherche de jeunes chercheurs égyptiens.
Date limite de candidature le 15 avril 2020.

Édito

Vignette illustrant cette actualité <>Édito

Chers lecteurs, chers membres de laboratoires et partenaires,

 

En cette période bien étrange, j’ai pu constater la réactivité et la capacité d’adaptation impressionnantes de chacun. Je tenais à vous informer que les services de la délégation régionale sont en effectifs réduits via le télétravail mais ils fonctionnent. Dès à présent, bien entendu, des activités sont impactées et nous travaillons activement aux améliorations nécessaires. Membres d’unités sous tutelle CNRS, je vous invite à vous tenir au courant des informations et préconisations sur l’intranet CNRS national et l’intranet CNRS Rhône Auvergne. Nous sommes en début de vague épidémique. Mes pensées et mes encouragements vont vers l’ensemble des agents publics mobilisés face à cette situation – dont celles travaillant sur le Covid-19 - ainsi que vers toutes les personnes touchées et leurs proches. Respectons les consignes sanitaires pour protéger les plus faibles et alléger la charge du système de santé. Alors que nous devrions être en pleine Semaine du Cerveau, pensons également à en prendre soin. Cette lettre vous propose pas mal d’actualités non liées au Covid-19, en espérant que certaines vous y aideront en papillonnant vers d’autres sujets.
Bonne lecture,

 

Frédéric Faure
Délégué régional du CNRS en Rhône Auvergne

En délégation Rhône Auvergne

  À la une haut de page

Vignette illustrant cette actualité

Les services de la délégation régionale du CNRS pilotent leurs activités en télétravail. Une page Intranet Covid-19 à l’attention des membres de ses unités de service et de recherche a été mise en ligne. Elle permet d’avoir des informations pratiques régionales, complémentaires aux informations du CNRS sur l’intranet national. Les agents rencontrant des difficultés pour se connecter aux intranets CNRS peuvent se référer à cette notice.

Vignette illustrant cette actualité

Elles exaltent nos quotidiens et constituent la pierre angulaire des échanges entre notre cerveau, notre corps et ce qui nous entoure. Les émotions font aujourd’hui l’objet de nombreux travaux de recherche qui visent à cerner leurs mécanismes, leurs origines et la façon dont elles influencent nos actions. Dans le cadre de la Semaine du Cerveau 2020, ce numéro hors-série de Pop’Sciences Mag vous emmène à la rencontre de chercheurs du territoire lyonnais qui nous éclairent sur ce qui se passe dans nos cerveaux lorsque l’émoi l’emporte.

  Actualités de la délégation haut de page

Initialement organisée le 31 mars à 9h30 à la délégation CNRS Rhône Auvergne, la réunion d'information sur l'accompagnement des contractuels par Pôle emploi est annulée. Une nouvelle date sera annoncée ultérieurement.

Vignette illustrant cette actualité

Au sein du Cluster Herbe, le Laboratoire d’innovations territoriales élevage à l’herbe de massif (LIT EHM) est un outil d’expérimentation au service des territoires. L'appel à idées du LIT EHM vise à encourager les initiatives favorables au développement d’innovations structurantes sur la durabilité des filières agricoles et agro-alimentaires et des territoires de massifs. Date limite de dépôt de votre initiative : le 10 avril.

Vignette illustrant cette actualité

Le Centre Jacques Cartier est un symbole d’échange, de partage et d’innovation en étant un pont reliant la France (Auvergne-Rhône-Alpes), le Québec et Ottawa. A la lumière de la situation entourant le Covid-19, et des préoccupations qui en découlent, la date de dépôt des dossiers définitifs de l’étape 2 de l’appel à projets a été reportée. Celle-ci est désormais le 1er juin, 23h59 (heure de Montréal), ceci afin de permettre la pérennité des échanges, la continuité des Entretiens Jacques Cartier et les avancées et partenariats bilatéraux qui en découlent et qui permettent de construire ensemble le monde de demain.

  Actualités scientifiques haut de page

Vignette illustrant cette actualité

Les ions sulfate particulaires, omniprésents lors d’épisodes de pollution atmosphérique, proviennent de l’oxydation de précurseurs soufrés dont, principalement, le dioxyde de soufre (SO2). Cependant, leur présence à de fortes teneurs en Asie reste inexpliquée. Une équipe de chercheurs, impliquant l’Institut de recherches sur la catalyse et l'environnement de Lyon (IRCELYON), a découvert une voie réactionnelle qui explique enfin ces observations. Ces travaux, publiés dans la revue Environmental Science and Technology, montrent que les propriétés photosensibilisantes des particules conduisent à une oxydation rapide du SO2.

Vignette illustrant cette actualité

Chez l’Homme le gène de la dystrophine est tristement célèbre car sa mutation est responsable des myopathies de Duchenne et de Beker. En collaboration avec une équipe de Chicago, des scientifiques du laboratoire Génétique, reproduction et développement (GReD) ont étudié le rôle de cette dystrophine dans des cellules non musculaires de drosophile. Ces résultats, publiés dans la revue Development, éclairent d’un jour nouveau ce que peuvent être les fonctions de la dystrophine à une échelle moléculaire et cellulaire et ouvrent des perspectives intéressantes pour mieux comprendre son implication dans les myopathies.

Vignette illustrant cette actualité

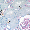
Des médecins-chercheurs du Centre international de recherche en infectiologie (CIRI) et de l’hôpital Edouard Herriot – HCL, ont mis en évidence l’existence d’un nouveau type de rejet de greffe. Cette découverte, publiée dans Nature Communications, remet en cause plusieurs dogmes en immunologie des greffes et a aussi permis d’identifier un traitement prometteur pour prolonger la durée de vie des greffons.

Vignette illustrant cette actualité

Le prix Cozzarelli est décerné chaque année à six équipes de recherche dont les articles du PNAS ont apporté une contribution exceptionnelle à leur domaine dans les six catégories suivantes : Sciences physiques et mathématiques ; Sciences biologiques ; Ingénierie et sciences appliquées ; Sciences biomédicales ; Sciences comportementales et sociales ; et Sciences biologiques, agricoles et environnementales appliquées. Le prix « Ingénierie et sciences appliquées » a été décerné notamment à Régis Chirat, Laboratoire de géologie de Lyon : terre, planètes et environnement.

Vignette illustrant cette actualité

Retrouvez sur le site internet de la délégation Rhône Auvergne du CNRS les derniers ouvrages publiés par les membres de nos laboratoires. À découvrir cette semaine : Entre terres et eaux. Les sites littoraux de l'âge du Bronze : spécificités et relations avec l'arrière-pays. Le présent ouvrage, co-dirigé par Yves Billaud (ArAr), regroupe dix-sept contributions explorant cinq aires géographiques distinctes, présentant chacune leurs particularités orographiques et hydrographiques, mais qui se rejoignent sur des problématiques communes. Femmes et littérature, une histoire culturelle est un ouvrage collectif, avec la participation d’Éliane Viennot et Edwige Keller-Rahbé (IHRIM), il offre pour la première fois un ample panorama de la présence des femmes en littérature, du Moyen Âge au XXIe siècle, en France et dans les pays francophones.

  Vie des laboratoires haut de page

Vignette illustrant cette actualité

Placées sous le signe de la recherche et de l’innovation en cancérologie, les journées annuelles du Cancéropôle Lyon Auvergne-Rhône-Alpes (CLARA) initialement annoncées le 25 et 26 mars à la Cité Internationale de Lyon sont reportées le 30 et 31 mars 2021 en raison de la situation sanitaire actuelle.

Vignette illustrant cette actualité

La fondation Neurodis soutient la recherche neuroscientifique en région Auvergne-Rhône-Alpes depuis sa création en 2007. Dix-huit projets ont été soutenus entre 2015 et 2018. Le Comité Exécutif de la fondation propose de lancer en 2020 un appel à projets qui concerne la recherche préclinique et fondamentale. Ces projets doivent être portés par les équipes de recherche neuroscientifique Auvergne Rhône-Alpes (seules ou en partenariat) et réalisés en région. Chercheurs, chercheuses : vous avez jusqu'au 30 avril (au lieu 27 mars) pour répondre !

Vignette illustrant cette actualité

Chaque année, la Métropole de Lyon, en partenariat avec l’Université de Lyon, récompense des jeunes chercheurs et chercheuses à travers trois prix de 5000€. Pour postuler c'est maintenant jusqu'au 31 mai !

Le Centre de recherches critiques sur le droit (CERCRID), lance un appel à candidatures visant à recruter un doctorant ou une doctorante en droit dans le cadre du projet ANR « TraPlaNUm : Les nouvelles formes de Travail via les Plateformes Numériques ».

  À découvrir haut de page

Vignette illustrant cette actualité

Au regard des conditions sanitaires actuelles, toutes les activités de l’Association des Anciens et Amis du CNRS (A3-CNRS) prévues en mars et avril sont annulées et reportées à une date ultérieure lorsque les conditions sanitaires seront revenues normales.

Vignette illustrant cette actualité

Comment expliquer le cerveau aux jeunes et à chacun d’entre nous ? En racontant des histoires exceptionnelles de femmes et d’hommes qui ont révolutionné nos connaissances, qu’il s’agisse de patients célèbres ou de chercheurs hors du commun ! C’est suite à sa participation à la Semaine du Cerveau que Mani Saignavongs, docteure en neurosciences, publie ce livre illustré par Benjamin Baret et préfacé par Jean Phillipe Lachaux (CRNL).

Vignette illustrant cette actualité

Spécialiste de spectroscopie RMN, Anne-Marie Delort explore les frontières entre la biologie et la chimie, pour élucider le métabolisme des bactéries. Cette passionnée de randonnée à ski dirige la thématique « Métabolisme et Environnement » à l’Institut de chimie de Clermont-Ferrand (ICCF), thématique reconnue sur le plan mondial pour l’analyse des eaux de nuages. Découvrez cet article-portrait proposé par l’INC.

Dates limites haut de page

Les actualités qui suivent sont celles dont la date limite est proche.
Pour consulter la liste complète des actualités avec dates limites, cliquez ici.

CNRS Hebdo Rhône Auvergne

Gestion de votre abonnement : https://www.cnrs.fr/actualite-du-cnrs/rhone-auvergne/Abonnement.aspx
Vos remarques sur le contenu éditorial : DR07.communication@cnrs.fr
Vos remarques sur le fonctionnement technique : support-CNRSHebdo@dr14.cnrs.fr

CNRS Hebdo Rhône Auvergne
Pour vous abonner ou vous désabonner au CNRS Hebdo Rhône Auvergne,
cliquez ici

Vous pouvez nous faire part de vos informations et vos remarques à l'adresse suivante : CNRS-Hebdo

Les informations recueillies font l'objet d'un traitement informatique destiné à la diffusion d'une lettre d'information. Le destinataire des données est le Service du système d'information (SSI) de la Délégation Rhône Auvergne. Conformément à la loi "informatique et libertés" du 6 janvier 1978, vous bénéficiez d'un droit d'accès et de rectification aux informations qui vous concernent. Si vous souhaitez exercer ce droit et obtenir communication des informations vous concernant, veuillez vous adresser au Service du s

Mentions Légales - Cookies - Données personnelles