CNRS HEBDO

À la une

Vignette illustrant cette actualité

L’exposition La Science taille XX elles, créée par le CNRS et l’association Femmes & Sciences, proposera au public, du 3 au 28 février 2021, à la mairie de Paris, 48 portraits de femmes scientifiques. Un vernissage, en comité restreint en raison de la crise sanitaire, aura lieu le 11 février, à l’occasion de la journée internationale Unesco des femmes et des filles en sciences, en présence d'Anne Hidalgo, maire de Paris ,et d'Antoine Petit, président-directeur général du CNRS.

  Coronavirus COVID-19 haut de page

Vignette illustrant cette actualité

Marie Gaille, philosophe et directrice adjointe scientifique de l’INSHS et le sociologue Philippe Terral, professeur à l’Université Toulouse Paul Sabatier, expliquent la contribution essentielle des sciences humaines et sociales pendant la crise sanitaire, développée dans le rapport « Les sciences humaines et sociales face à la première vague de la pandémie de COVID19 – Enjeux et formes de la recherche ».

Vignette illustrant cette actualité

Le 3 septembre dernier, le Gouvernement annonçait le plan France Relance destiné à soutenir l'économie nationale suite à la crise liée à la pandémie de COVID-19. L’une des 70 mesures concerne particulièrement le secteur de la recherche et de l’innovation et, dotée de 300 M€, vise à préserver l’emploi dans la R&D.

Vignette illustrant cette actualité

En octobre dernier, le comité de pilotage COVID-19 du séminaire Maladies infectieuses émergentes a organisé un atelier inédit pour faire émerger les problématiques de communication rencontrées pendant la situation pandémique, entre puissance publique, experts et médias.

Vignette illustrant cette actualité

Dans ce podcast, l'historienne Axelle Brodiez-Dolino dresse un bilan éloquent des « nouveaux pauvres » de la pandémie.

  Vie institutionnelle haut de page

Vignette illustrant cette actualité

Totalement repensé graphiquement et éditorialement, avec une interface plus moderne et dynamique, découvrez le nouveau site du groupement de recherche GDR Sport  : actualités, webinaires, évènements, publications et appels à projet en sont les principales rubriques.

Vignette illustrant cette actualité

La démarche d’amélioration continue du CNRS (DAC) compte aujourd’hui environ 300 projets portés par une soixantaine de coordonnateurs (cDAC) au sein de leur entité et dans les laboratoires. Leurs coordonnées sont désormais accessibles à tous les agents des unités CNRS.

Pour consulter l’annuaire des cDAC  - Tout savoir sur la page DAC’ORE 

Vignette illustrant cette actualité

La liste électorale provisoire pour le renouvellement des sections du Comité national de la recherche scientifique (mandat 2021-2026) est consultable sur le site web des élections du CNRS. Vous pouvez vérifier votre inscription et formuler toute demande de rectification sur ce site. 

Vignette illustrant cette actualité

La campagne d’évaluation des chercheurs et chercheuses évalués à la session de printemps 2021 est ouverte : les personnes concernées sont invitées à déposer leurs dossiers dans l’application e-valuation jusqu’au 3 mars 2021 à midi.

  Europe et international haut de page

Vignette illustrant cette actualité

Le bureau du CNRS en Amérique du Sud présente les dernières actualités scientifiques de territoire.

  Innovation et relations avec les entreprises haut de page

Vignette illustrant cette actualité

La start-up Skilder, en s'appuyant sur les travaux de trois laboratoires du CNRS et de ses partenaires, a construit une plateforme numérique d'évaluation des compétences comportementales (empathie, leadership, écoute, persuasion...) permettant aux entreprises de mieux recruter ou former leurs collaborateurs.

Vignette illustrant cette actualité

Des chercheurs de l’Institut de physique des deux infinis de Lyon, en collaboration avec des équipes de Géosciences Rennes, et de l'Institut de physique du globe de Paris, ont mis au point une technique d'imagerie de la densité des sous-sols ou des infrastructures lourdes, fondée sur la tomographie par muons.

  Vie scientifique haut de page

Vignette illustrant cette actualité

Ce colloque, organisé par un collectif d'universités, de grandes écoles et d'organismes nationaux de recherche, et en partenariat avec le CNRS, se tiendra le 15 janvier 2021, en présence d’Alain Schuhl, directeur général délégué à la science du CNRS. Plusieurs thèmes autour de la responsabilité de la recherche et de l'innovation y seront abordés.

Vignette illustrant cette actualité

Avec plus de 3 600 enregistrements sonores de langues en danger et sous-documentées, la collection Pangloss est une archive ouverte, consultable et téléchargeable librement pour sauvegarder le patrimoine linguistique mondial.

Vignette illustrant cette actualité

Le projet Ocean Sentinel, qui regroupe des chercheurs du CNRS et de l’université de La Rochelle, a reçu le prix Horizon Impact 2020 de la Commission européenne. Ce programme ambitieux permet de lutter contre la pêche illégale en utilisant un système de balises embarqués sur des oiseaux marins.

  Appel à projets haut de page

Vignette illustrant cette actualité

La fondation Simone et Cino Del Duca de l’Institut de France décernera le 2 juin son Grand prix scientifique à un chercheur français ou européen présentant un projet de recherche ambitieux sur le thème « phénomènes de diffusion, théorie mathématique et applications ». Date limite des candidatures le 20 janvier 2021.

Vignette illustrant cette actualité

L’appel à propositions lancé conjointement par les deux institutions permet le financement de bourses doctorales et de mobilités jusqu’à 3 ans. Date limite des candidatures le 5 février 2021.

Vignette illustrant cette actualité

La Mission pour les initiatives transverses et interdisciplinaires du CNRS, lance, dans le cadre des défis, quatre appels à projets : Le temps : mesures, perceptions, impacts et applications -  Captage, stockage et valorisation du CO2 - Métallo-Mix - Sciences frugales et innovation basse technologie (Low-Tech)Date limite des candidatures : 22 janvier, 27 janvier, 1er février et 16 février.

Vignette illustrant cette actualité

Favoriser les nouvelles collaborations et les échanges entre chercheurs et enseignants-chercheurs français et marocains, tels sont les objectifs de ce programme qui permet de soutenir et valoriser des recherches innovantes. Date limite des candidatures le 15 février 2021.

Vignette illustrant cette actualité

La Cour des Comptes récompense de jeunes docteurs qui contribuent à améliorer les connaissances et l'innovation en matière de finances publiques, gestion publique et évaluation des politiques publiques. Date limite d’intention à concourir le 31 janvier – Date limite des candidatures le 31 mars 2021.

Vignette illustrant cette actualité

Ce programme, lancé par l’Ambassade de France aux Etats-Unis et la fondation FACE, encourage et soutient les collaborations des jeunes chercheurs français et américains les plus prometteurs et promeut les projets de recherche pluridisciplinaires innovants. Date limite des candidatures le 24 février 2021.

Vignette illustrant cette actualité

La fondation EDMUS, en partenariat avec la fondation ARSEP, lance son 6e appel à projets pour promouvoir la recherche sur la sclérose en plaques et les maladies apparentées. Date limite des candidatures le 30 avril 2021.

En délégation Hauts-de-France

  À la une haut de page

Vignette illustrant cette actualité

La SATT Nord, Conectus, SATT Sayens, en partenariat avec l’IRT M2P, les Pôles de compétitivité Matéralia et Véhicule du Futur, lancent un Appel à Manifestation d’Intérêt ayant pour thématique « Valoriser la recherche pour l’Industrie du Futur », en Grand Est, Hauts-de-France et Bourgogne-Franche-Comté.
Date limite de candidature : 26 février 2021.
 

  Actualités scientifiques haut de page

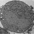
Vignette illustrant cette actualité

La pathogénicité des parasites causant la toxoplasmose ou le paludisme repose sur leur capacité à se multiplier. Comprendre les mécanismes permettant l’organisation et la coordination de la division chez ces parasites est donc essentiel pour les combattre... L'INSB a publié une actualité scientifique concernant les travaux de Mathieu Gissot, chercheur au CIIL (Centre d'Infection et d'Immunité de Lille).
Lire l'actualité scientifique
©Mathieu Gissot

  Vie des laboratoires haut de page

Vignette illustrant cette actualité

Le CURAPP-ESS (Centre Universitaire de Recherches Administratives et Politiques de Picardie - Epistémologie et Sciences Sociales) organise un colloque intitulé «La prise en charge médicale des LGBTI». Le colloque aura lieu à distance le 21 janvier 2021, à partir de 9h15.
Programme
Inscription
 

Vignette illustrant cette actualité

Le CERAPS (Centre d'Etudes et de Recherches Administratives, Politiques et Sociales) organise un séminaire international autour de l'ouvrage de Jason Hackworth, "Manufacturing Decline : How Racism and the Conservative Movement Crush the American Rust Belt". Ce séminaire aura lieu en visio-conférence le 21 janvier 2021.
En savoir plus
Lien de connexion

Vignette illustrant cette actualité

La Mission de recherche Droit et Justice et le comité de rédaction des APC (Archives de Politique Criminelle) organisent, le 25 janvier 2021, un après-midi de présentation-débat en visio-conférence depuis le grand amphithéâtre de l’ENM à Paris (sous réserve des instructions sanitaires à cette date).
En savoir plus
 

  À découvrir haut de page

Vignette illustrant cette actualité

Le MESRI lance une plateforme d’information grand public pour tout savoir sur la recherche dans la lutte contre la COVID-19. Retrouvez l’intervention de nombreux scientifiques ou responsables reconnus pour leur expertise, notamment sous forme de webinaires.

Dates limites haut de page

Les actualités qui suivent sont celles dont la date limite est proche.
Pour consulter la liste complète des actualités avec dates limites, cliquez ici.

CNRS Hebdo Hauts-de-France

Gestion de votre abonnement : https://www.cnrs.fr/actualite-du-cnrs/hauts-de-france/Abonnement.aspx
Vos remarques sur le contenu éditorial : dr18-communication@cnrs.fr
Vos remarques sur le fonctionnement technique : support-CNRSHebdo@dr14.cnrs.fr

CNRS-Hebdo Hauts-de-France

Cliquez ci-contre pour modifier votre abonnement : http://www.cnrs.fr/CNRS-Hebdo/hauts-de-france/abonnements.php
Vous pouvez nous faire part de vos remarques à l'adresse suivante : cnrs-hebdo@dr18.cnrs.fr

Les informations recueillies font l'objet d'un traitement informatique destiné à la diffusion d'une lettre d'information. Les destinataires des données sont le service de communication et le service informatique de la délégation Hauts-de-France. Conformément à la loi "informatique et libertés" du 6 janvier 1978, vous bénéficiez d'un droit d'accès et de rectification aux informations qui vous concernent. Si vous souhaitez exercer ce droit et obtenir communication des informat

Mentions Légales - Cookies - Données personnelles