CNRS HEBDO

À l'affiche

Vignette illustrant cette actualité <>Semaine des mathématiques

La Semaine des mathématiques se déroule du 13 au 18 mars 2017 dans toute la France. Le thème de cette cinquième édition est "Mathématiques et langages".

À la une

Vignette illustrant cette actualité

Dominique Gillot, présidente du Conseil national de la culture scientifique, technique et industrielle (CNCSTI), a présenté ce jeudi 9 mars 2017 au Palais de la Découverte, la stratégie nationale de la CSTI à Audrey Azoulay ministre de la Culture et de la Communication et Thierry Mandon, secrétaire d’État en charge de l’Enseignement supérieur et de la Recherche. Co-construit avec les professionnels de terrain, le milieu académique et des experts reconnus, cette stratégie nationale propose différents axes de travail et des actions à mener sur tout le territoire français.

Vignette illustrant cette actualité

Abbelight, ACS Biotech, Biopic, Casis, Daumet, Genoskin, Grasp SAS et Inorevia pitcheront lors du Salon de l’enseignement supérieur et de la recherche, le 17 mars, devant des professionnels de la valorisation et du financement de l’innovation, avant de rencontrer en B2B des investisseurs susceptibles de les accompagner dans leurs démarches entrepreneuriales. L’une de ces start-up se verra décerner, par le Cabinet Plasseraud, le prix Coup de cœur du jury, d’une valeur de 5000 €.

  Vie institutionnelle haut de page

Vignette illustrant cette actualité

La campagne des concours internes ouvre du 22 mars au 14 avril 2017. Les dossiers de candidature seront téléchargeables pendant cette période. Des formations de préparation à la rédaction du dossier sont actuellement en cours, d’autres suivront pour la préparation à l’audition.

Vignette illustrant cette actualité

De nouveaux postes d'encadrement sont à pourvoir, notamment ceux de Responsable technique et logistique pour la Délégation régionale Côte d’Azur et Adjoint au Délégué régional Normandie.

  Europe et international haut de page

Vignette illustrant cette actualité

Du 5 au 7 avril 2017 à Barcelone, se déroulera la 9ème réunion plénière de la Research Data Alliance (RDA), une organisation internationale visant à faciliter le partage de données entre différentes technologies, disciplines et organismes. À cette occasion, l'initiative BRIF organisera le 5 avril 2017 une session de réflexion sur la valorisation du travail accompli dans la mise à disposition des données. Les chercheurs sont invités à participer à la session.

  Innovation et relations avec les entreprises haut de page

Vignette illustrant cette actualité

Issue du laboratoire Omega et du Laboratoire de l’accélérateur linéaire, la start-up Weeroc valorise auprès des industriels les circuits micro-électroniques développés au laboratoire.

Vignette illustrant cette actualité

Le programme NETVA propose à de jeunes start-up françaises, un programme d’accompagnement personnalisé, d’analyse d’opportunités et de développement de partenariats technologiques aux États-Unis et au Canada. Date limite de candidature : 31 mars 2017.

Vignette illustrant cette actualité

Le 14 mars 2017, 9 chercheurs du CNRS viendront présenter leurs projets entrepreneuriaux au NUMA à Paris, lors d'un événement co-organisé avec la start-up Startsquare. L'objectif de cette journée est de permettre aux scientifiques issus de la recherche publique de trouver des associés complémentaires et des opportunités pour développer leur projet.

  Vie scientifique haut de page

Vignette illustrant cette actualité

À l'occasion de l'exposition"Le Mystère Le Nain" au musée du Louvre-Lens, dont le CNRS est partenaire, les deux établissements s'associent pour mener un projet de recherche inédit. Pendant toute la durée de l'exposition (du 22 mars au 26 juin 2017), 600 visiteurs munis d'une tablette indiqueront ce qu'ils pensent pertinent de voir dans sept des œuvres exposées. Les tracés, enregistrés et traités grâce à l'application Ikonikat, permettront aux chercheurs de savoir si l'attention d'un visiteur se porte réellement sur les éléments jugés les plus dignes d'intérêt par les professionnels.
© Sarah Landel

  Appel à projets haut de page

Vignette illustrant cette actualité

Le CNRS et la National Research Foundation (NRF Korea) lancent un appel à projets pour promouvoir des coopérations entre des unités affiliées au CNRS et des laboratoires coréens dans tous les domaines de recherche. Date limite de dépôt des dossiers : 2 mai 2017.

Vignette illustrant cette actualité

Dans le cadre de l’European Joint Programme (EJP) pour l'intégration de la recherche sur la radioprotection (CONCERT), l'ANR lance un appel pour soutenir des projets innovants, multidisciplinaires et transnationaux dans le domaine de la radioprotection. Date limite de soumission des projets : 2 mai 2017.

Vignette illustrant cette actualité

Lancé par la Fondation pour la recherche médicale, le prix Victor et Erminia MESCLE est destiné à soutenir une équipe pour ses recherches précliniques sur les greffes d’organes ou de cellules. Date limite de dépôt des dossiers : 13 avril 2017.

Vignette illustrant cette actualité

Le stand Les Sciences sur la Place réitère sa présence au salon Le livre sur la Place qui se tiendra du 8 au 10 septembre 2017 à Nancy. Devenue un rendez-vous incontournable, cette manifestation est l’occasion pour les auteurs scientifiques et le grand public de se rencontrer et d’échanger. Date limite d'inscription : 28 avril 2017.

À l'affiche

Vignette illustrant cette actualité <>La Semaine du cerveau

Visites de laboratoires, ateliers, tables-rondes, théâtre... Dans les agglomérations lyonnaise et clermontoise, les spécialistes des neurosciences viennent à la rencontre du public à l'occasion de la 19ème édition de la Semaine du Cerveau. La programmation s'étend du 13 au 18 mars en Auvergne, et jouera les prolongations jusqu'au 21 mars à Lyon.

En savoir plus

En délégation Rhône Auvergne

  À la une haut de page

Vignette illustrant cette actualité

Le 21 mars prochain, le CNRS fête les 10 ans du Conseil européen de la recherche (ERC).  À cette occasion, la Délégation Rhône Auvergne propose une rencontre avec quatre chercheurs ayant bénéficié de cette opportunité. Rolan Bacon (CRAL/OSUL), Christian George (IRCELYON), François Leulier (IGFL), Gaël Yvert (LBMC) présenteront leurs projets de recherche, le 21 mars de 17h30 à 19h à la Maison du projet (campus LyonTech-La Doua). Des impovisations slammées seront également proposées par UnDeuxGround, à partir de travaux de recherche réalisés dans le cadre de financements ERC.

En savoir plus

  Actualités de la délégation haut de page

Vignette illustrant cette actualité

L'avis du jury international et le document de candidature du projet IDEXLYON sont désormais disponibles en ligne.

En savoir plus

La Mission pour la place des femmes au CNRS est un observatoire chargé d’impulser, de conseiller et d’évaluer la prise en compte du genre dans la politique globale de l’établissement. Son action s'articule autour de quatre axes principaux : agir pour l’égalité professionnelle au sein du CNRS, promouvoir la transversalité de l’approche "genre" en recherche, valoriser les carrières scientifiques et techniques auprès des jeunes, notamment les filles, développer les partenariats européens et internationaux. Une correspondante "égalité" est disponible à la Délégation Rhône Auvergne pour toutes les questions d'égalité professionnelle.

En savoir plus


 

La Région Auvergne-Rhône-Alpes lance un appel à projets destiné, au travers d’un nouveau dispositif dédié, à soutenir des projets de recherche académique, portés par des laboratoires de recherche et ayant un fort potentiel de développement socio-économique. Les candidatures sont à déposer avant le 31 mars à 12h. Les porteurs de projets sont invités à se rapprocher du Service partenariat et valorisation de la Délégation régionale CNRS pour le montage des dossiers.

En savoir plus
 

  Actualités scientifiques haut de page

Vignette illustrant cette actualité

La société Activation et le laboratoire C2P2 créent le Laboratoire Commun LISIP (Laboratoire d’innovation, scale-up et intensification des procédés de polymérisation), inauguré le 6 mars. Soutenu financièrement par l’ANR pour une période de trois ans, le LISIP rassemble les deux partenaires autour du développement de méthodes innovantes pour la production de polyoléfines par procédés catalytiques.

En savoir plus

Vignette illustrant cette actualité

S’il est bien établi que le champ magnétique terrestre est maintenu par la convection de la partie liquide du noyau terrestre, son apparition dès les premiers instants de la Terre reste une question ouverte. De nouvelles expériences à hautes pressions et températures, ainsi que des modèles théoriques, ont permis à une équipe de chercheurs du laboratoire ELSI (Tokyo), de l’IMPMC (Paris) et du LGL de mieux comprendre la chimie du noyau terrestre actuel. Ces résultats leur ont permis de proposer un mécanisme permettant d’expliquer la génération du champ magnétique terrestre, il y a plus de 4 milliards d’années.

En savoir plus

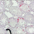
Vignette illustrant cette actualité

Les acides biliaires ont été récemment impliqués dans la régulation de la physiologie testiculaire et reconnus comme responsables de cas d’infertilité. Grâce à l’utilisation de modèles murins et d’approches pharmacologiques, l’équipe de David Volle au laboratoire GReD, révèle la présence inattendue de voies alternatives d’action des acides biliaires au sein du testicule. Cette étude est publiée dans la revue Scientific Reports.

En savoir plus

Lancée par Europeana Sounds et la Fondation Europeana, la plateforme Europeana Radio propose une écoute interactive qui permet aux auditeurs de partir à la découverte des trésors audio de l’Europe et de rejoindre une production participative à l’échelle du continent en “taguant” les genres musicaux des enregistrements. Europeana Sounds, projet européen de trois ans, connecte les archives sonores de l’Europe. Il s’agit d’un partenariat entre 24 bibliothèques nationales, institutions du son, centres de recherches et universités de douze pays européens, dont le LARHRA.

En savoir plus

Vignette illustrant cette actualité

Xavier Hélary, membre du CIHAM, a reçu  la médaille Gobert 2017 de l'Académie des Inscriptions et Belles-Lettres pour son ouvrage intitulé La dernière croisade. Cet ouvrage est tiré de sa thèse  soutenue en 2004 : L'Ost de France. La guerre, les armées, la société politique (fin du règne de Saint Louis - fin du règne de Philippe le Bel).

En savoir plus

Vignette illustrant cette actualité

Retrouvez sur le site internet de la Délégation Rhône Auvergne du CNRS les derniers ouvrages publiés par les membres de nos laboratoires. À découvrir cette semaine : l’entrepreneur tient une place spécifique dans les débats théoriques, et est le personnage principal de l’action économique. Toutefois les perceptions divergent entre spécialistes et citoyens lorsque nous parlons d’entrepreneur, d’entrepreneuriat, d’esprit d’entreprise. C’est la raison d’être du Dictionnaire économique de l’entrepreneur, publié par André Tiran, membre du laboratoire Triangle.

En savoir plus

  Vie des laboratoires haut de page

Colette Grinevald, du laboratoire DDL, et Julien Meyer, chercheur CNRS au GIPSA-Lab (Grenoble), sont les invités de la huitième soirée du Collegium de Lyon (Lyon 7e), le 21 mars à 18h30. Les langues font partie des inventions les plus fines et complexes de l’intelligence humaine. Elles nous renseignent sur notre histoire, sur nos capacités cognitives étonnantes et sur la manière dont nous nous adaptons à notre contexte social et environnemental. Cette conférence mettra en évidence les différentes dimensions de la diversité des langues du monde, des hiéroglyphes égyptiens aux formes sifflées et tambourinées de la parole qui sont encore utilisées dans certaines parties du monde pour se parler à longue distance. 

En savoir plus

Vignette illustrant cette actualité

Ce colloque international a pour but d’explorer les manifestations linguistiques de l’égocentrisme et de l’anthropocentrisme, en s’appuyant sur un large échantillon de langues et de genres discursifs. Il se déroulera les 30 et 31 mars à l'ENS de Lyon.

En savoir plus

  À découvrir haut de page

Vignette illustrant cette actualité

La Semaine des mathématiques se déroule du 13 au 18 mars. Le thème de cette cinquième édition est "Mathématiques et langages". À Lyon, la MMI, l'Académie des sciences, belles-lettres et arts de Lyon, l’IREM de Lyon et l’IFÉ, proposent notamment dans le cadre du Forum Mathématiques Vivantes une journée grand public le 18 mars dans le Vieux Lyon. À Clermont-Ferrand, le muséum Henri-Lecoq, en partenariat avec l’Irem de l’Université Clermont Auvergne, propose une conférence de Marion Cousin, "Une histoire des mathématiques japonaises" le 16 mars, et une soirée Maths le 18mars.

En savoir plus

Vignette illustrant cette actualité

Le CNRS et la Société Française de Physique organisent une soirée exceptionnelle le 20 mars dans une quinzaine de villes de France et d’Italie, pour fêter la découverte des ondes gravitationnelles annoncée en février 2016. La soirée commence à 18h30 par des conférences scientifiques : à Vaulx-en-Velin, elles seront organisées par le LMA et accueillies par le Planétarium. Puis, vers 20h15, tous les sites seront interconnectés par vidéo : cette deuxième partie de soirée sera animée en direct depuis le Grand Rex par l’auteure et la comédienne Florence Porcel. En amont de cette soirée, 4 concours sont organisés à destination des scolaires et des étudiants.

En savoir plus

Vignette illustrant cette actualité

La relation entre les mathématiques et la théorie de l'évolution n'est pas évidente au premier abord. Pourtant, dès que l'on s'intéresse aux mécanismes de la sélection naturelle, donc de l'évolution temporelle des espèces, les mathématiques sont bien présentes. Dans le cadre du cycle de conférences "Un texte, un mathématicien", Sylvie Méléard, présidente du département de mathématiques appliquées de l'École polytechnique, s'attachera à mettre en évidence les liens entre l'ouvrage fondamental de Darwin, L'Origine des espèces, et les mathématiques. Cette conférence se tiendra le 20 mars à 18h45 à la Faculté de médecine de Clermont-Ferrand.

En savoir plus

CNRS Hebdo Rhône Auvergne

Gestion de votre abonnement : https://www.cnrs.fr/actualite-du-cnrs/rhone-auvergne/Abonnement.aspx
Vos remarques sur le contenu éditorial : DR07.communication@cnrs.fr
Vos remarques sur le fonctionnement technique : support-CNRSHebdo@dr14.cnrs.fr

CNRS Hebdo Rhône Auvergne
Pour vous abonner ou vous désabonner au CNRS Hebdo Rhône Auvergne, cliquez ici

Vous pouvez nous faire part de vos informations et vos remarques à l'adresse suivante : CNRS-Hebdo

Les informations recueillies font l'objet d'un traitement informatique destiné à la diffusion d'une lettre d'information. Le destinataire des données est le Service du système d'information (SSI) de la Délégation Rhône Auvergne. Conformément à la loi "informatique et libertés" du 6 janvier 1978, vous bénéficiez d'un droit d'accès et de rectification aux informations qui vous concernent. Si vous souhaitez exercer ce droit et obtenir communication des informations vous concernant, veuillez vous adresser au Service du systèm

Mentions Légales - Cookies - Données personnelles