Une nouvelle cible thérapeutique pour lutter contre les addictions ?

Biologie
Santé

L’addiction aux drogues est une maladie psychiatrique pour laquelle aucun traitement pharmacologique à l’efficacité durable n’existe aujourd’hui. Une caractéristique commune à toutes les substances addictives est d’augmenter la concentration d’un neurotransmetteur, la dopamine, au sein des régions cérébrales qui forment le circuit neuronal de la récompense. Cette augmentation altère durablement les transmissions cérébrales dépendant d’un autre neurotransmetteur, le glutamate, ce qui engendre des comportements addictifs. Dans une nouvelle étude, une équipe internationale, impliquant des scientifiques du CNRS, d’INRAE, du CEA, de Sorbonne Université, de l’université Paris-Saclay, de l’université de Bordeaux et de l’université Côte d’Azur1 , dévoilent, chez la souris et chez l’humain, les bases moléculaires responsables de ce dialogue néfaste entre la dopamine et le glutamate. Leurs travaux montrent que le blocage des interactions entre les récepteurs de la dopamine et ceux du glutamate protège des comportements pathologiques provoqués par la cocaïne chez la souris, sans altérer les comportements guidés par une réponse naturelle. Ils ouvrent ainsi la voie au développement de nouvelles stratégies thérapeutiques pour traiter l’addiction, mais aussi pour un plus large spectre de troubles psychiatriques. Ils sont publiés dans la revue Science Advances le 20 octobre 2021.

 

#
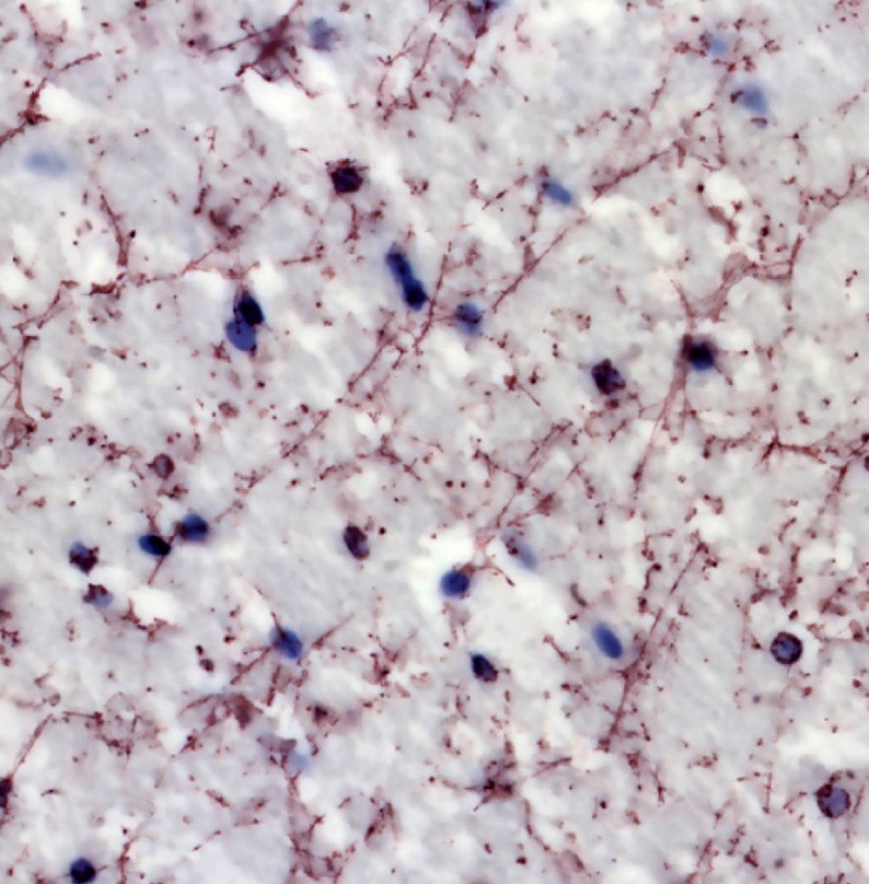
Détection de la proximité entre récepteurs à partir de tissus post-mortem humains. Le signal de proximité entre récepteurs correspond au marquage de couleur brune. © Andry Andrianarivelo et Peter Vanhoutte - Laboratoire Neuroscience Paris-Seine (CNRS/Sorbonne Université/Inserm)

 

  • 1Au sein du laboratoire Neurosciences Paris-Seine (CNRS/Sorbonne Université/Inserm), de l’Institut de pharmacologie moléculaire et cellulaire (CNRS/Université Côte d’Azur), Laboratoire de maladies neurodégénératives : mécanismes, thérapies, imagerie (CNRS/CEA/Université Paris-Saclay) et du laboratoire Nutrineuro (Inrae/INP Bordeaux/Université de Bordeaux).
Bibliographie

Disrupting D1-NMDA or D2-NMDA receptor heteromerization prevents cocaine’s rewarding effects but preserves natural reward processing. Andry Andrianarivelo, Estefani Saint-Jour, Paula Pousinha, Sebastian P. Fernandez,Anna Petitbon, Veronique De Smedt-Peyrusse, Nicolas Heck, Vanesa Ortiz, Marie-Charlotte Allichon, Vincent Kappès, Sandrine Betuing, Roman Walle, Ying Zhu, Charlène Joséphine, Alexis-Pierre Bemelmans, Gustavo Turecki, Naguib Mechawar, Jonathan A Javitch, Jocelyne Caboche, Pierre Trifilieff, Jacques Barik, Peter Vanhoutte. Le 20 Octobre 2021, Science Advances. https://www.science.org/doi/10.1126/sciadv.abg5970

Contact

Peter Vanhoutte
Chercheur CNRS
Alexiane Agullo
Attachée de presse CNRS