Les ports maritimes, foyers d’un cancer contagieux chez les moules

Environnement

Les ports maritimes jouent un rôle de foyers épidémiologiques dans la propagation mondiale d’un cancer contagieux affectant les moules. Appelée « MtrBTN2 »1 , cette maladie est une forme de cancer rare dans laquelle les cellules cancéreuses sont capables de se transmettre entre deux individus à proximité, à l'instar d'un parasite. Si dans la nature, la contagion n’est efficace qu’entre individus d’un même banc, les ports et le transport maritime favorisent sa dissémination entre individus de différents bancs, via le déplacement de moules malades fixées aux coques des bateaux. Ce résultat, issu des travaux d’une équipe de recherche menée par des scientifiques du CNRS2  et de l’Université de Montpellier, est à paraitre le 21 février dans la revue Proceedings of the Royal Society B.

L’incidence plus élevée de cette maladie dans les ports a été identifiée en étudiant 76 populations de moules le long de la côte vendéennes et du sud de la Bretagne, dans différents habitats, naturels ou artificiels.

Pour l’équipe de recherche, ces résultats appellent au déploiement de politiques de régulation du phénomène de « biofouling », c'est-à-dire l'attachement d'organismes marins aux coques, afin de limiter la propagation de cette maladie et préserver la santé des environnements côtiers.

Moules Mytilus edulis sur un pilier d’un ponton flottant du port du Croisic.
© Nicolas Bierne
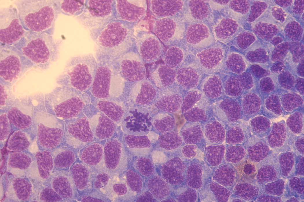
Cellules de "Mytilus trossulus Bivalve Transmissible Neoplasia 2" au microscope, grossissement x100. Elles sont caractérisées par une grande taille, un noyau important et un cytoplasme très réduit. En contraste, une cellule saine (un hemocyte) de petite taille avec un cytoplasme plus abondant est observable en bas à droite.
© Maurine Hammel

 

  • 1Pour « Mytilus trossulus Bivalve Transmissible Neoplasia 2 »
  • 2De l’Institut des sciences de l'évolution de Montpellier (CNRS/IRD/Université de Montpellier) et du laboratoire Interactions hôtes-pathogènes-environnements (CNRS/Ifremer/Université de Perpignan Via Domitia). Ont également participé à cette étude des scientifiques du laboratoire Maladies infectieuses et vecteurs : écologie, génétique, évolution et contrôle (CNRS/IRD/Université de Montpellier) et des bureaux d’étude Eurêka Mer et Cochet Environnement.
Bibliographie

Marine transmissible cancer navigates urbanised waters, threatening to spillover. M. Hammel, F. Touchard, E. A. V. Burioli, L. Paradis, F. Cerqueira, E. Chailler, I. Bernard, H. Cochet, A. Simon, F. Thomas, D. Destoumieux-Garzón, G. M. Charrière et N. Bierne. Proceedings of the Royal Society B, le 21 février 2024.
DOI : https://doi.org/10.1098/rspb.2023.2541

Contact

Nicolas Bierne
Chercheur du CNRS
Maurine Hammel
Doctorante Université de Montpellier
Aurélie Meilhon
Attachée de presse CNRS