Vaincre les cellules leucémiques en les privant d’énergie

Biologie
Santé

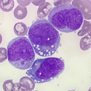
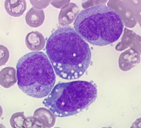
Les leucémies aiguës myéloïdes, qui affectent les cellules du sang et de la moelle osseuse, font partie des formes de cancer les plus mortelles. Plus de la moitié des malades de moins de 60 ans en meurent. Cette proportion s’élève à 85% pour les malades de plus de 60 ans. Une équipe de l’Université de Genève (UNIGE) et de l’Inserm1  a identifié un mécanisme énergétique inconnu jusqu’ici qui pourrait permettre la mise au point de nouveaux traitements. Lactivation sélective dAMPK, un enzyme clé de léquilibre énergétique des cellules tumorales, conduirait à la mort de ces cellules au travers de l’activation d’une réponse de la cellule au stress. Les scientifiques ont ensuite réussi à exploiter cette faille énergétique avec succès dans un modèle animal de la maladie. Une combinaison de deux médicaments dont l’un est déjà sur le marchés’est en effet vélée prometteuse. Cependant, son efficacité doit encore être confirmée sur les cellules souches leucémiques capables d’échapper à de nombreux traitements pour ensuite redémarrer la croissance tumorale. Ces résultats sont à découvrir dans la revue Cell Reports.

  • 1Plusieurs laboratoires ont été impliqués dont l’Institut Cochin (Inserm/CNRS/Université de Paris), le Centre de recherche en cancérologie de Lyon (Inserm/CNRS/Université Claude Bernard Lyon 1/Centre Léon Bérard) et le Centre de recherche en cancérologie de Toulouse (Inserm/CNRS/Université Toulouse III – Paul Sabatier).
Bibliographie

AMPK-PERK axis represses oxidative metabolism and enhances apoptotic priming of mitochondria in acute myeloid leukemia. Greniet et al. Cell Reports, 2022. DOI: 10.1016/j.celrep.2021.110197

Contact

Jérôme Tamburini
Professeur associé, Département de médecine Centre de recherche translationnelle en onco-hématologie Faculté de médecine Swiss Cancer Center Léman
Presse Université de Genève
CNRS - Service de Presse