Aller au contenu principal
INSB
  • Fr
  • En
Rechercher Rechercher
Menu
Accueil

Navigation principale

  • Accueil
  • Nos recherches
    • Coopérations
    • Disciplines
    • France 2030
    • Evaluation
    • Expertise scientifique collective
  • Nos innovations
    • Protéger
    • Entreprendre
    • Coconstruire
  • Nos défis‎
    • Défis transverses
    • Transition environnementale
    • Partage des savoirs
    • Science ouverte
  • Le CNRS
    • Missions
    • Responsabilités
    • Organisation
    • Europe et international
    • Distinctions
Rechercher Rechercher
  • Votre profil
  • Presse
  • Recrutement
  • Entreprises
  • Interne
Le CNRS sur le web
Annuaire
Faire un don
  • Fr
  • En
27.01.2025
Santé

Le microbiote, un allié de choix pour prédire la sensibilité de chacun aux additifs alimentaires

Télécharger le communiqué de presse (343 Ko)
16.12.2024
Vivant

Virus de la grippe : son génome enfin découvert de son manteau

""
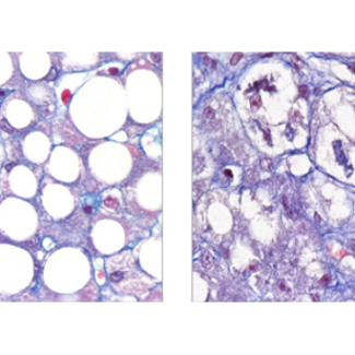
09.12.2024
Santé

Stéatohépatite associée à un dysfonctionnement métabolique (MASH) : il n’existe pas un mais deux types de maladie

Télécharger le communiqué de presse (379.56 Ko)
02.12.2024
Vivant

Prédiction chez les insectes : une fenêtre sur la complexité cognitive des cerveaux d'invertébrés

Télécharger le communiqué de presse (322.16 Ko)
29.11.2024
Vivant

Le lac Dziani Dzaha, un laboratoire naturel témoin d’un monde vivant perdu

Télécharger le communiqué de presse (556.63 Ko)
27.11.2024
Santé

A Toulouse, une école universitaire de recherche formera les prochains experts des maladies infectieuses émergentes à partir de la rentrée 2025

Télécharger le communiqué de presse (275.73 Ko)
cellules
22.11.2024
Innovation

France 2030 : le CNRS et l’Inserm lancent un programme pour comprendre comment les cellules choisissent leur destin et parfois déraillent

Télécharger le communiqué de presse (632.61 Ko)
12.11.2024
Sociétés

Comment mener des recherches en milieu scolaire ?

Télécharger le communiqué de presse (179.37 Ko)
""
29.10.2024
Environnement

L’évolution du cerveau des primates reflète leurs défis sociaux et alimentaires

Télécharger le communiqué de presse (329.46 Ko)
""
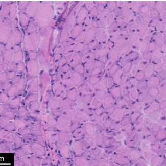
29.10.2024
Santé

Une supplémentation en vitamine pourrait améliorer certains symptômes d’une myopathie sévère

Télécharger le communiqué de presse (459.52 Ko)

Pagination

  • Page précédente ‹‹
  • Page 8
  • Page suivante ››
S'abonner à INSB
Accueil
Fondation CNRS CNRS Innovation CNRS Editions CNRS Alumni

Votre profil

  • Presse
  • Recrutement
  • Entreprises
  • Interne
  • Nous suivre

    • bluesky
    • twitter
    • linkedin
    • facebook
    • instagram
    • youtube
    Tous nos réseaux sociaux
    • Accessibilité - non conforme
    • Crédits
    • Gestion des cookies
    • Données personnelles
    • Mentions légales