Découverte d’un nouveau mécanisme clé de la progression des maladies rénales

Santé

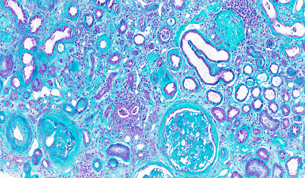
Les maladies rénales chroniques ont un point commun : une fois amorcées, quelle qu’en soit la cause et même si celle-ci est traitée, elles finissent toujours par s’aggraver. Deux équipes de l’Inserm, du CNRS et de l’Université Paris Cité viennent de découvrir le chef d’orchestre de ce mécanisme de progression inexorable : la protéine HNF1B. Au-delà d’une avancée majeure sur le plan de la connaissance de ces maladies, les équipes ont identifié une nouvelle cible thérapeutique d’intérêt majeur. Ces travaux sont parus dans la revue Science.

Bibliographie

HNF1B integrates signals in a feed-forward loop driving kidney disease progression. Pierre Isnard, Munevver Parla Makinistoglu, Michel Leibovici, Jonathan Levinsohn, Nicolas Zimmermann, Camille Cohen, Serge Garbay, Clement Nguyen, Deborah Gaglioti, Magali Chiral, Armelle Grevellec, Arianna Fiorentino, Dorien JM Peters, Evelyne Fischer, Frank Bienaimé, Katalin Susztak, Fabiola Terzi, Marco Pontoglio. Science, 16 avril 2026.
DOI: 10.1126/science.aea3219

Contact

Fabiola Terzi
Chercheuse Inserm
Marco Pontoglio
Chercheur CNRS
Inserm - Bureau de presse
CNRS - Service de Presse