Stéatohépatite associée à un dysfonctionnement métabolique (MASH) : il n’existe pas un mais deux types de maladie

Santé

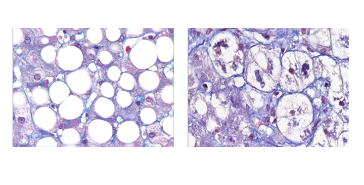
La MASH, anciennement connu sous le nom de la NASH, est une maladie hépatique chronique grave, qui concerne environ 4 à 6 % de la population adulte mondiale. Une nouvelle étude révèle que contrairement à ce qui était admis jusqu’ici, il n’existe pas une seule forme de MASH mais deux. Elles se distinguent à la fois par des caractéristiques biologiques et des progressions différentes. L’une est d’origine génétique quand l’autre est la conséquence de désordres métaboliques. Cette découverte faite au CHU de Lille dans le cadre du RHU PreciNASH, un vaste projet de recherche hospitalo-universitaire coordonné par l’Inserm, a nécessité la collaboration de plusieurs équipes scientifiques issues d’Inria, du CNRS, de l’université, du CHU, et de l’Institut Pasteur de Lille. Cette étude fait l’objet d’une publication dans Nature Medicine et pourrait marquer un tournant dans la façon d’appréhender la maladie sur le plan clinique et thérapeutique. 

Bibliographie

Data-driven cluster analysis identifies distinct types of metabolic dysfunctionassociated steatotic liver disease
Violeta Raverdy  1,2,24, Federica Tavaglione  3,4,24, Estelle Chatelain5,24, Guillaume Lassailly6,24, Antonio De Vincentis7,8, Umberto Vespasiani-Gentilucci3,4, Sami F. Qadri  9,10, Robert Caiazzo1,2, Helene Verkindt1,2, Chiara Saponaro1 , Julie Kerr-Conte1 , Gregory Baud1,2, Camille Marciniak1,2, Mikael Chetboun1,2, Naima Oukhouya-Daoud1,2, Samuel Blanck11, Jimmy Vandel  5 , Lisa Olsson  12, Rima Chakaroun12, Viviane Gnemmi13,14, Emmanuelle Leteurtre13,14, Philippe Lefebvre15, Joel T. Haas  15, Hannele Yki-Järvinen9,10, Sven Francque  16,17, Bart Staels  15, Carel W. Le Roux  18, Valentina Tremaroli  12, Philippe Mathurin6 , Guillemette Marot11,19, Stefano Romeo  12,20,21,22,23 & François Pattou  1,2.
Nature Medicine, décembre 2024
DOI : 10.1038/s41591-024-03283-1

Contact

François Pattou
Directeur du laboratoire de recherche translationnelle sur le diabète
Inserm - Bureau de presse