Une nouvelle étude démontre que l’approche innovante de la technologie de Sensome permet de surveiller avec succès la progression du cancer

Santé

Un article publié dans Science Advances révèle les résultats d'une collaboration pluriannuelle entre Sensome, l'École polytechnique et le CNRS. 
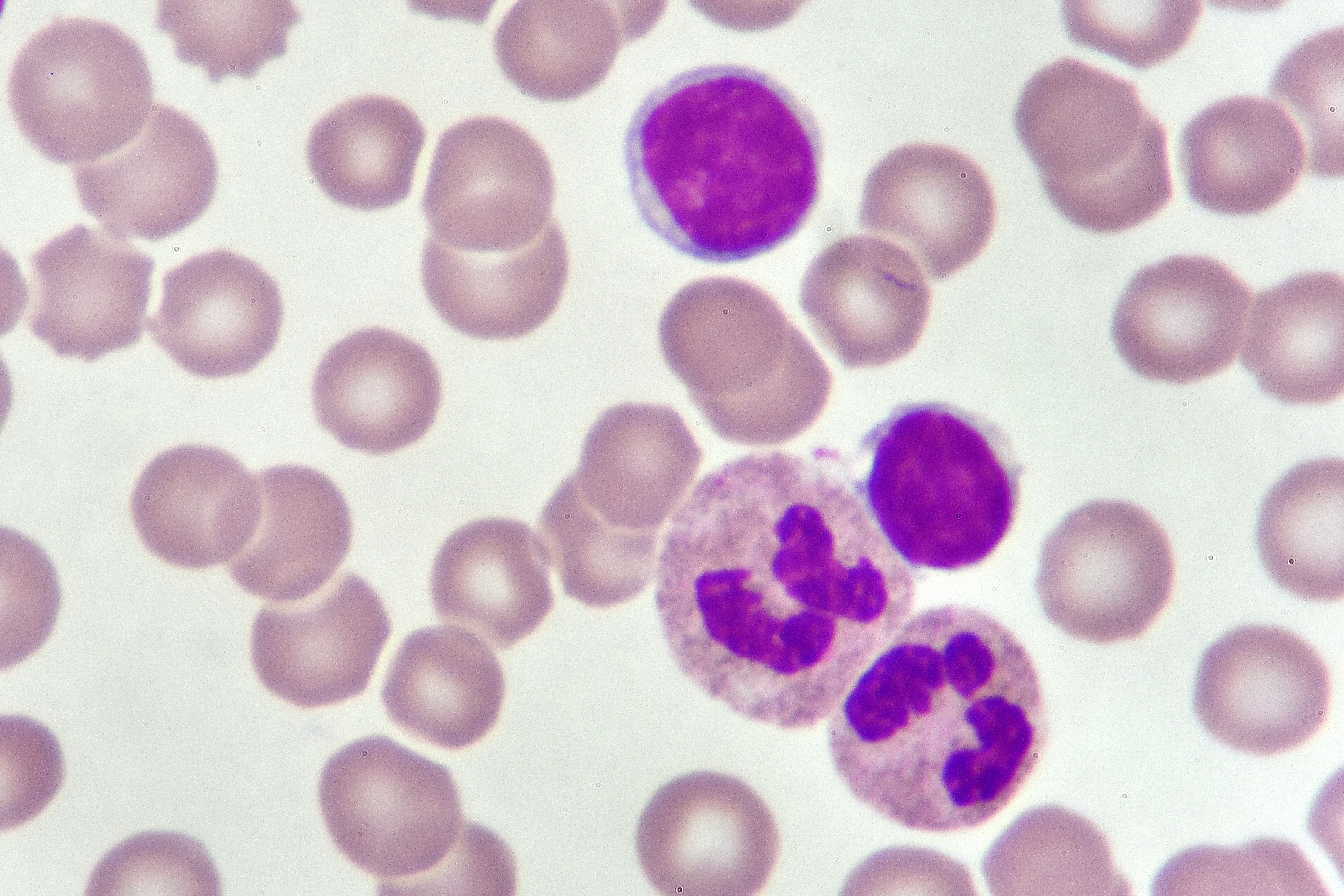
Sensome, la société à la pointe des dispositifs médicaux connectés grâce au plus petit capteur d’impédance au monde pour analyser des tissus biologiques en temps réel et in situ, a annoncé aujourd'hui la publication d'une étude dans Science Advances révélant une méthodologie innovante utilisant sa technologie pour surveiller de manière non invasive la dynamique spatio-temporelle des cellules impliquées dans la progression du cancer. Cette avancée peut offrir de nouvelles perspectives pour le diagnostic et le traitement de la maladie.

Bibliographie

Noninvasive real-time monitoring of cellular spatiotemporal dynamics via machine learning–enhanced electrical impedance spectroscopy. Manuel Carrasco Yagüe, Xingjian Zhang, Matthew Volpatti, Yiming, Gor Lebedev, Jean Gamby and Abdul I. Barakat. Science Advances, 16 juillet 2025.
DOI : https://www.science.org/doi/10.1126/sciadv.adx4919 

Contact

Célia Chirol
Service de presse de l’École polytechnique
CNRS - Service de Presse
Michelle McAdam
Presse Sensome