Toutes nos actualités
2170 résultats
Presse
L’imagerie ultrasonore pour résoudre le fonctionnement du cortex visuel
L’imagerie ultrasonore ultrarapide a récemment été proposée pour suivre l’activité cérébrale dans la profondeur du cerveau. Cette nouvelle…
Lire l'article
Presse
COVID-19 : quelles sont les conséquences de l’infection sur les différents globules blancs ?
Menée par Robin Jeannet, une équipe de recherche du CRIBL (CNRS/Inserm/Université de Limoges) et du Centre d’investigation clinique Inserm au CHU de…
Lire l'article
Presse
Les hommes et les femmes ne sont pas égaux face au premier stade de l’infection par le VIH-1
Pour la première fois, une équipe de recherche a mis en évidence un mécanisme génétique dépendant du sexe dans la réponse immunitaire innée qui a…
Lire l'article
Presse
Les jets des quasars : des accélérateurs de particules sur des milliers d'années-lumière
Une collaboration internationale, regroupant plus de 200 scientifiques de 13 pays, vient de démontrer que l’émission gamma de très haute énergie des…
Lire l'article
Presse
Des peintures murales médiévales datées par carbone 14
Pour la première fois, des peintures murales de la fin du Moyen-Âge provenant d’un château en Bourgogne et d’une église en Suisse ont pu être datées…
Lire l'article
Presse
Arrêts cardiaques en dehors de l’hôpital pendant le pic de l’épidémie covid-19 : des travaux mettent en évidence l’embolie pulmonaire comme déterminant principal
Des investigateurs français de l’Institut médico-légal de Paris, du service de radiologie de l’hôpital Sainte-Anne/GHU Paris, du département d…
Lire l'article
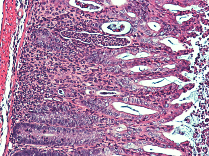
Presse
Maladies inflammatoires de l’intestin : les cellules immunitaires, fer de lance de la guérison
Les inflammations de l’intestin touchent de nombreux patients, avec des perspectives thérapeutiques souvent réduites. Le rôle du fer dans ces…
Lire l'article