Toutes nos actualités
3895 résultats
Actualité
En mai, le CNRS a fêté l’Europe avec les élus
Tout au long du mois de mai, des événements ont été organisés par les délégations régionales du CNRS et les Conseils régionaux pour célébrer l’Europe…
Lire l'article
Actualité
Une semaine de rencontres autour d’enjeux en écologie, environnement et biodiversité
Le CNRS organise la première semaine nationale en écologie, environnement et biodiversité dans plusieurs villes de France, du 30 mai au 3 …
Lire l'article
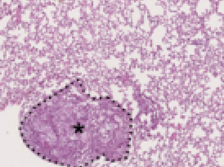
Presse
Des mécanismes épigénétiques spécifiques aux femmes pourraient contribuer à la progression tumorale
Des travaux décrivent le rôle épigénétique d’un ARN non-codant dans le développement de tumeurs agressives, notamment dans le cancer du sein. L…
Lire l'article
Actualité
Bernard Bigot, une vie au service de la science et de la recherche
Fervent promoteur de la chimie, Bernard Bigot a mené une carrière scientifique de premier plan marquée par son engagement dans la politique de la…
Lire l'article
Presse
Une toupie moléculaire
Entrez dans le monde de la mécanique moléculaire ! Telle est l’aire de jeu des scientifiques qui travaillent dans ce champ disciplinaire dont l…
Lire l'article
Presse
Vers de nouveaux polymères dégradables
Une équipe de recherche a synthétisé de nouveaux polymères dégradables par incorporation de liaisons…
Lire l'article
Actualité
VivaTech 2022 : Le CNRS, moteur de l’innovation de demain
Sur les thèmes de la santé, du développement durable et du numérique, le CNRS présentera au plus grand salon européen de l’innovation du 15 au 18…
Lire l'article
Actualité
« La Fondation CNRS veut être une boite à outils au service des laboratoires et des chercheuses et chercheurs du CNRS »
La Fondation CNRS évolue. Depuis deux ans, la Fondation CNRS a mis en place différentes actions pour soutenir la recherche, notamment les fondations…
Lire l'article
Actualité
Au CNRS, les technologies ont leurs réseaux
Les réseaux technologiques transverses du CNRS mènent des actions structurantes pour les communautés, avec de nombreuses réalisations au bénéfice de…
Lire l'article